部分矯正コラム-歯並びの知識
キーワード:歯列矯正 歯並びの後戻り 再矯正
再治療 前歯の矯正治療
-
-
歯列矯正「後戻りによる再矯正」
費用や期間・注意点ここ最近、後戻りによる「歯列矯正の再治療」を希望される方が増えてきています。歯の矯正治療を終えたものの、歯並びが元に戻ってしまい、もう一度矯正をやり直したいと考える方は少なくないでしょう。実際、歯列矯正後に歯が後戻りする可能性は誰にでもあります。
歯の後戻りによる再矯正とは、以前に歯列矯正を受けたものの、その後に歯並びや噛み合わせが再び乱れ、再度矯正を行うことを指します。再矯正が必要になる理由はさまざまで、治療後の歯の「後戻り」や、初回の歯列矯正が不十分だった場合が主な原因です。
後戻りは、ワイヤー矯正やマウスピース矯正など、どの歯列矯正でも起こり得る可能性があります。
キーワード:歯列矯正 後戻り防止 リテーナー
保定装置 リテーナー使用時の注意点
-
-
後戻り防止の
リテーナー(保定装置)についてリテーナーとは、矯正治療後に歯並びを安定させるための装置です。矯正によって動かした歯は元の位置に戻ろうとする力が働くため、特に矯正装置を外した直後の歯や骨はまだ不安定です。そのため、リテーナーを使って歯の位置をしっかりと固定する必要があります。
リテーナーを正しく一定期間使用することで、矯正治療後に手に入れた理想的な歯並びを維持し、最終的にはリテーナーを外しても歯並びが後戻りしにくくなります。
リテーナーの効果を十分に得るためには、指示された時間や期間に従うことが非常に重要です。そして、矯正治療後の歯並びを維持するためには、指定された保定期間をきちんと守ることが大切です。
キーワード:大人の歯列矯正 やめたほうがいい?
年齢制限 成人矯正 前歯の矯正治療
-
-
大人の歯列矯正は
やめたほうがいい?!子供の頃だけ歯並びが悪くなると思われがちですが、実は大人になってからも歯並びは変わることがあります。歯並びが悪くなると、見た目の問題だけでなく、噛み合わせが悪くなり、虫歯や歯周病になりやすくなったり、顔の歪みや顎の関節に負担がかかるなどの影響があります。大人になってから「歯並びを良くしたい」と考えて矯正を検討する人は多いです。
大人になっても、口の中の状態に問題がなければ歯列矯正は可能です。
自分では歯や周りの組織がどれだけ健康か判断するのは難しいです。大人が歯列矯正を始めるための最初のステップは、歯の状態が矯正に適しているかを確認することです。
キーワード:歯列矯正 部分矯正 年齢制限
成人矯正 前歯の矯正治療
-
-
歯列矯正の年齢制限について
大人になって歯並びが気になるけど歯列矯正は「子供や若い時期にしか行えない」と思っていませんか?
実際、多くの人が歯列矯正を始めるタイミングについて悩んでいます。
歯列矯正を始めるのに最適な時期は、一般的に6歳の臼歯(第一大臼歯)と前歯4本が生え変わる頃の6〜7歳です。しかし、その年齢を過ぎても矯正治療ができなくなるわけではありません。
歯列矯正は、永久歯が生え変わっていれば年齢に関係なく治療が可能です。ただし、歯の健康状態と顎の骨の強度が条件となります。
キーワード:マウスピース矯正の落とし穴 ワイヤー矯正とマウスピース矯正の違い
部分矯正 前歯の矯正治療
-
-
マウスピース矯正の落とし穴とは?
前歯の部分矯正に注意「見た目が気になるからマウスピース矯正にしたい」と考える方も多いですが、前歯だけをきれいに整えたい方には、実はワイヤー矯正のほうが向いている場合が多いです。
なぜなら、前歯の細かい位置調整には繊細なコントロールが必要であり、ワイヤー矯正の方が対応力に優れているからです。
当院は部分矯正専門のクリニックとして、こうしたケースに多数対応しています。「どちらが自分に合っているのか?」迷っている方は、ぜひお気軽にご相談ください。
キーワード:すきっ歯 正中離開 空隙歯列
部分矯正 前歯の矯正治療
-
-
すきっ歯は部分矯正で治す
当たつや歯科では、前歯の歯並びについて患者さんから多くの相談や質問を受けており、特に「すきっ歯」の見た目にコンプレックスを抱える方も少なくありません。当院では、部分的に歯列矯正を行う治療も行っております。
すきっ歯を治療する最も一般的な方法は、矯正治療です。また、部分矯正は症状に応じて治療を行うため、全顎矯正が不要の場合に適しており、治療期間は短く、治療費用も全顎矯正と比べると安く抑えられるため、患者さんの気持ちに寄り添った人気の治療法となっています。
当院には日々「すきっ歯」にお悩みをもった患者さんが多数来院しており、実際に部分矯正で歯並びを改善した患者さんが多くいらっしゃいます。
キーワード:出っ歯 上顎前突
反っ歯 部分矯正 前歯の矯正治療
-
-
部分矯正で出っ歯は治る?
部分矯正のたつや歯科では、前歯の歯並びについて患者さんより歯並びのお悩み相談、質問を受けております。その中でも「出っ歯」の見た目にコンプレックスをお持ちの患者さんも少なくありません。
顔や歯は第一印象にとても重要なパーツであり、そして口元の前歯は特に目立つため、出っ歯を治すことで口元と横顔がキレイになります。
患者さんより多く質問をいただく「前歯の出っ歯は部分矯正で治せますか?」たつや歯科の部分矯正では、出っ歯でも“軽度”であれば部分矯正で治せる可能性があります。
キーワード:八重歯 ガチャ歯
ガタガタ歯並び 部分矯正 前歯の矯正治療
-
-
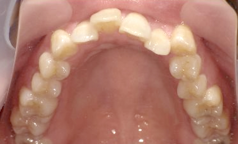
八重歯「ガチャ歯・ガタガタ歯並び」は
部分矯正で治る?多くの人が八重歯「ガチャ歯・ガタガタ歯並び」を自己のコンプレックスと感じており、八重歯「ガチャ歯・ガタガタ歯並び」は不便を感じる人も多く、以前ほど「可愛い」というポジティブな印象は減少しています。
一般的に八重歯の矯正が推奨される理由は、八重歯「ガチャ歯・ガタガタ歯並び」を放置した後のリスクがあるためです。八重歯をそのままにしておくといろいろな問題が生じる可能性があるため、できるだけ早めに対応することが重要です。
キーワード:部分矯正 できない例
歯列矯正が難しいケース 成人矯正 前歯の矯正治療
-
-
部分矯正ができない例
「私の歯の並び、部分矯正できるかな?」「今から矯正するなら、気になる部分だけ治したい!」
歯の並びを整えたいけど、部分矯正で治療できるのか不安ですよね。今回は、部分矯正では難しいケースをいくつかご紹介します。
部分矯正ができない例をご来院される前に一度ご自身でチェックを行ってください。
キーワード:部分矯正 部分矯正のメリット
部分矯正のデメリット たつや歯科の部分矯正
-
-
部分矯正のメリット・デメリット
前歯の歯並びに悩んでいる方や矯正治療を検討されている方が、当院には多く来院されています。部分矯正は、全体の歯を動かす全顎矯正よりも費用が抑えられる傾向があり、部分矯正を希望する方も多いです。
部分矯正には、メリットとデメリットの両方があります。部分矯正を検討している方は、しっかりとメリットとデメリットを理解した上で治療を選ぶことをおすすめします。
部分矯正ができない例をご来院される前に一度ご自身でチェックを行ってください。
キーワード:八重歯 叢生 前歯のガタガタ
部分矯正 前歯の矯正治療
-
-
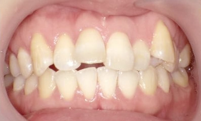
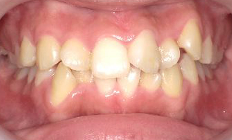
八重歯/ガチャ歯(叢生)について
「八重歯」とは、不正咬合の一種である叢生(歯並びが乱れている)の中で、犬歯と呼ばれる3番目の歯が唇側に傾いたり、位置がずれている状態を指します。
八重歯が生じる主な原因は、歯の大きさに対して顎の小ささがあることです。顎が小さいと、永久歯が適切に並ぶスペースが十分に確保できなくなります。その結果、後から生えてくる歯が押し出される傾向があります。
多くの人が八重歯を自己のコンプレックスと感じています。八重歯は不便を感じる人も多く、以前ほど「可愛い」というポジティブな印象は減少しています。また、犬歯は口の適切な機能にとって重要な役割を果たしており、正常な咬合状態の維持は口の健康にも大きな影響を与えます。つまり、八重歯の治療は必要な場合もあります。
キーワード:すきっ歯 正中離開 空隙歯列
部分矯正 前歯の矯正治療
-
-
すきっ歯になる原因と治療方法
前歯の歯列において、隙間が生じることを一般的に「すきっ歯」といいます。すきっ歯は、虫歯によって出来た穴ではなく、自然に歯と歯の間に隙間がある状態を言います。
このすきっ歯には、前歯の真ん中に隙間ができる正中離開と、全体的に隙間がある空隙歯列という2つのタイプが存在します。最も一般的なのは、上前歯の中心に約2mm以上の隙間がある「正中離開」です。また、歯の形が小さくなり円錐状や栓状に変形した「矮小歯(わいしょうし)」という歯の形態異常から隙間が生じることもあります。
すきっ歯を矯正治療で治すことで、口元の見た目がガラっとわかりやすく改善されるため、歯並びや笑顔に自信を取り戻す患者さんが多くいらっしゃいます。
キーワード:出っ歯 上顎前突 反っ歯
部分矯正 前歯の矯正治療
-
-
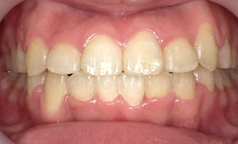
なぜ出っ歯になるの?
出っ歯になる原因とデメリット出っ歯は前歯、上顎の歯全体が前方に突出している状態を言います。正面や横顔から見ても突き出た前歯が目立つために、口元にコンプレックスを抱く方が多くいらっしゃいます。出っ歯を治すことで口元・横顔が整い、笑顔により自信が持てるようになります!
出っ歯と判断される基準は、前歯を真横から確認した時に上下前歯の差分が5mm以上あると、出っ歯の傾向があります。一般的な差分は2~3mmになります。
出っ歯になる原因は、ひと言で「出っ歯」と言っても原因は多種多様です。大きく分けるとしたら、先天的な原因と後天的な原因に分けられます。
キーワード:軽度の不正咬合 前歯1本のガタガタ
前歯1本の捻れ 部分矯正 前歯の矯正治療
-
-
軽度/前歯1本のガタガタについて
「前歯」の見た目が気になる方、こんなお悩みはありませんか?「前歯1本だけが少し前に出ている。」「あと少しで前歯が綺麗に整うのに...」「パッとみた感じは整ってるけど、よく見ると歯並びが悪い。」このような軽度の歯並びガタガタの方は部分矯正をご検討ください。
軽度のガタガタ前歯(叢生/乱杭歯)は部分矯正で治す!部分矯正のたつや歯科では、患者さん一人ひとりに合わせた治療プランをご提案いたします。前歯の見た目が気になる方は、実績豊富な当院までお気軽にご相談ください。
キーワード:歯列矯正 矯正治療 部分矯正
支払い方法 分割払い 院内分割払い
-
-
矯正治療の支払い方法|
分割払いは可能?このコラムでは、一般的な歯列矯正の支払い方法や分割払いの種類について詳しくご紹介しています。
一般的な支払い方法の種類として、一括払い(現金または振込)・クレジットカード払い・院内分割払い・デンタルローンがあります。
分割払いを利用する際は、金利や手数料が発生する場合があるため、希望する歯科医院でどの支払い方法が利用できるか事前に確認し、ご自身に合った方法を選びましょう。
キーワード:歯列矯正 矯正治療 部分矯正
前歯の矯正治療 成人矯正の料金 費用相場
-
-
成人矯正の料金・
矯正治療全体の費用相場歯科矯正には様々なアプローチがあり、どの方法を選ぶかによって費用が異なります。
矯正治療方法ごとの一般的な費用相場、① 表側矯正(ワイヤー矯正):70万円~100万円、② 裏側矯正(舌側矯正・リンガル矯正):100万円〜150万円、③ ハーフリンガル矯正:80万円〜130万円、④ 部分矯正:30万円〜60万円、⑤ マウスピース矯正(全顎):70万円~120万円。
こちらのコラムでは、費用相場の詳細に加え、歯列矯正中に発生する費用について詳しく解説しています。
キーワード:10万円で部分矯正 安い矯正治療
部分矯正 前歯の矯正治療
-
-
部分矯正は10万円で治療可能?
安い理由と注意点ネットで見つける広告を見た患者さんより質問いただく「10万円で部分矯正はできるの?」結論からお伝えすると非常に安価な矯正治療は利用条件が厳しかったり、説明と実際に異なることが多いため、慎重に検討が必要です。
一部の歯科医院では「10万円で部分矯正が可能!」と宣伝しているところもありますが、実際にはこの金額で治療できる症例は限られています。部分矯正は全体矯正に比べて費用が安い特徴がありますが、10万円の部分矯正などの極端に安い場合はリスクがある可能性があります。
「費用10万円〜」「月々たったの0,000円〜」といった上限金額が書かれていない場合は、クリニックで費用の詳細を確認することが重要です。自分が納得でき、安心して通院できる歯科医院を選ぶことが大切です。
キーワード:歯の矯正 費用
前歯のみ気になる方 部分矯正 前歯の矯正治療
-
-
歯の矯正 費用「前歯のみ気になる方」
歯の矯正を望んでいるけれど、高額な費用がネックになって諦めている人は少なくありません。歯の矯正には部分矯正や全顎矯正など、さまざまな種類があり、それぞれの費用も異なります。
「前歯の1本だけが気になる」「少し前歯を治したいけど、矯正治療の費用が高くて悩んでいる」「全体ではなく、部分的に治したい」などと考えていませんか?
部分矯正は、前歯の歯並びを改善する効果的な治療法で、全顎矯正に比べて費用が抑えられます。






