矯正で抜歯は本当に必要?
抜歯が必要なケースとは
矯正治療に伴う抜歯について

矯正治療で抜歯が
必要なケース・不要なケースを解説
- 矯正治療をするなら抜歯が必要と言われた
- 健康な歯を抜くのがどうしても不安
このようなお悩みから「矯正 抜歯」というキーワードで検索される方は非常に多くいらっしゃいます。
実際、月間検索数も多く、多くの方が矯正治療に対して強い不安や疑問を感じていることが分かります。
- 本当に抜歯は必要なのか?
- 抜歯しない方法はないのか?
- できるだけ短期間・少ない負担で治したい
といった点は、とても重要な判断材料になります。
結論からお伝えすると、矯正治療=必ず抜歯が必要、というわけではありません。
また、部分矯正=必ず抜歯をしない治療、というわけでもありません。
大切なのは、「どこまで歯を動かす必要があるのか」「歯を並べるスペースがあるかどうか」です。
本コラムでは、「矯正で抜歯が必要になる理由」から、「部分矯正でも抜歯が必要なケース・不要なケース」まで、部分矯正専門クリニック【たつや歯科】の視点で、分かりやすく解説していきます。
なぜ矯正治療では
抜歯が必要と言われるのか

矯正治療で抜歯が検討される最大の理由は、歯をきれいに並べるためのスペースが不足していることです。
歯は顎の骨の中に収まっています。歯の大きさに対して顎が小さい場合、そのままでは歯が並びきらず、「ガタガタに重なっている」「前歯が前方に押し出されている」といった状態になります。
このような場合、歯列全体を整えるためには、どこかでスペースを作る必要があります。その代表的な方法が「抜歯」です。
特に、以下のようなケースでは抜歯矯正が選択されやすくなります。
- 奥歯から前歯まで大きく歯を動かす必要がある
- 重度のガタガタや叢生がある
- 口元の突出感をしっかり下げたい場合
全体矯正(全顎矯正)では、噛み合わせを含めて歯列全体を大きく動かすため、抜歯によるスペース確保が必要になることも少なくありません。
抜歯を行うことのメリット
抜歯を行うことで、歯を並べるための十分なスペースを確保できるため、下記のようなメリットがあります。
- 無理のない位置に歯を配列しやすくなる
- 口元の突出感を改善しやすくなる
- 噛み合わせのバランスを整えやすくなる
歯並びや噛み合わせを長期的に安定させるために、抜歯が適切な選択となるケースもあります。
矯正で抜歯を行うことへの不安とデメリット
抜歯矯正は、適切な診断と計画のもとで行えば、見た目や噛み合わせを大きく改善できる治療法です。
一方で、患者さんが不安を感じやすいポイントも確かに存在します。
健康な歯を抜くことへの抵抗
虫歯や歯周病ではない健康な歯を抜くことに、強い心理的抵抗を感じる方は少なくありません。一度抜いた歯は元に戻らないため、慎重な判断が必要です。
治療期間が長くなりやすい
抜歯後のスペースを閉じながら歯を動かすため、治療期間は1年半〜2年以上かかるケースもあります。
見た目・痛みのストレス
抜歯後は一時的に歯の隙間が目立つことがあり、人前に出るお仕事の方にとっては大きなストレスになる場合もあります。また、歯を大きく動かす分、痛みを感じやすい傾向もあります。
こうした理由から、「できることなら抜歯を避けたい」と考える方が増えているのが現状です。
抜歯を伴わないケースもある
矯正治療という選択肢

近年注目されている、非抜歯矯正・部分矯正
矯正治療では、歯を動かす範囲や必要なスペースによって、抜歯の有無が決まります。
患者さんの歯並びやご希望に応じて、
- 前歯のみを中心に整える
- 見た目に影響する部分を重点的に改善する
といった治療計画を立てることで、結果として抜歯を行わずに矯正できるケースも少なくありません。
また、下記のような歯並びは、歯を大きく動かす必要がないため、必ずしも全体矯正が最適とは限らないこともあります。
- 前歯のすきっ歯
- 軽度の出っ歯
- 軽度の凸凹・ガタガタ
抜歯が不要になるケースが
多い部分矯正の特徴

部分矯正では、奥歯から大きく歯を動かす必要がないケースが多くなります。
そのため、以下のような条件がそろっている方では、結果的に抜歯が不要になるケースが多いのが特徴です。
歯を並べるための
スペースが確保できる場合
もともと歯と歯の間にわずかな余裕がある方や、歯列の乱れが軽度な場合は、大きなスペースを作らなくても歯を整えられることがあります。
前歯のみの見た目改善
が目的の場合
すきっ歯、軽度の出っ歯、前歯のガタつきなど、「前歯の見た目」を整えることが目的の場合、全体矯正ほど大きな移動が必要ありません。
IPR(歯と歯の間の調整)
が可能な場合
歯と歯の間をごくわずかに調整することで、抜歯をせずにスペースを確保できるケースもあります。
これらの理由から、部分矯正では「抜歯をしない」というよりも、「抜歯が不要になるケースが多い」という表現が正確になります。
抜歯をしない部分矯正のメリット
一方で、歯並びの状態やご希望によっては、抜歯を行わずに部分矯正が可能なケースも多くあります。
抜歯を伴わない部分矯正には、次のようなメリットがあります。
①治療期間が比較的短い
動かす歯の本数や範囲が限られるため、全体矯正に比べて治療期間が短くなる傾向があります。
②身体的・精神的な負担が少ない
健康な歯を抜かずに治療できることで、「歯を失うことへの不安」や治療に対する心理的なハードルが下がります。
③見た目の変化を早く実感しやすい
前歯など、見た目に影響する部分を中心に整えるため、治療の早い段階で変化を実感しやすいのも特徴です。
④通院回数や日常生活への影響が少ない
治療範囲が限定されることで、通院回数が少なく済む場合もあり、お仕事や日常生活への影響を抑えながら治療を進めることができます。
【注意点】
部分矯正だからといって、必ず抜歯をしないとは限りません!
ここで誤解されやすいポイントについて整理しておきます。
部分矯正は、歯列全体ではなく、気になる部分を中心に整える矯正治療です。
しかし、
- 部分矯正だから必ず抜歯しない
- 抜歯をしない矯正=部分矯正
というわけではありません。
部分矯正であっても、歯を並べるスペースが明らかに不足している場合や、治療計画上どうしても必要な場合には、抜歯を行うこともあります。
大切なのは、抜歯をするかどうかではなく、「どの範囲を、どれくらい動かす必要があるか」という点です。
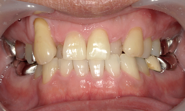
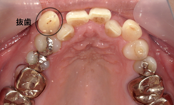
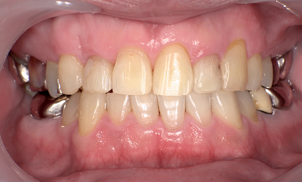
抜歯を伴った部分矯正の症例
当院は基本的には抜歯せずに、ディスキング(歯の横の面をエナメル質の範囲内で多少削る)にて歯列矯正しています。
ただし、部分矯正でも必要であれば抜歯を行なって治療を行うこともございます。
また、歯を並べるスペースが元々確保できる場合は、抜歯もディスキングも行わずに治療します。
| Before | After |
|---|---|
|
|
症例詳細:上顎の部分矯正、治療期間:7ヶ月、矯正装置1本:3.5万円+tax、リスク:後戻りの可能性
「矯正の抜歯」で悩んでいる方にこそ
知ってほしい選択肢

- 矯正をしたいけれど、
抜歯が必要と言われて迷っている - 本当に抜歯しか方法がないのか知りたい
このようなお悩みをお持ちの方こそ、一度立ち止まって治療方法を比較することが大切です。
歯並びの状態によっては、「全体矯正+抜歯が最適なケース」「部分矯正で抜歯をせずに対応できるケース」どちらも考えられます。
重要なのは、「抜歯あり・なし」だけで判断するのではなく、ご自身の歯並びに合った治療法を選ぶことです。
たつや歯科の部分矯正
抜歯の必要性も含めて正直にご提案
たつや歯科では、東京都豊島区にある前歯だけの部分矯正専門クリニックです。
- 治療実績8,000件以上
- 短期間で治療完了を目指せる
- 痛みや通院負担を最小限に配慮
当院では、「部分矯正だから抜歯しません」と一律に判断することはありません。
診断の結果、
- 抜歯が不要なケース
- 抜歯を行った方が長期的に安定するケース
それぞれのメリット・デメリットを丁寧にご説明した上で、患者さんにとって納得できる治療計画をご提案しています。
前歯だけの部分矯正を専門に扱う
歯科医院として
前歯の歯並びは、見た目の印象を大きく左右します。
一方で、短期間で結果を求められる分、正確な診断と高い技術力が欠かせません。
部分矯正を検討中の患者さんは、まずはご自身の歯並びがどの治療に向いているのかを知ることから始めてみてください。

まとめ
抜歯が必要かどうかは、
お口の状態によって異なります

「矯正 抜歯」というキーワードで検索される方の多くは、本当に歯を抜かなければならないのか分からず、不安を感じているのではないでしょうか。
矯正治療で抜歯が必要かどうかは、
- どの範囲まで歯を動かす必要があるのか
- 歯を並べるためのスペースがどれくらいあるか
- どこまで整えたいかという仕上がりのご希望
といった、歯並びの状態と治療の目的によって決まります。
部分矯正は抜歯を目的とした治療ではありませんが、歯を大きく動かす必要がない場合には、結果として抜歯を行わずに治療できるケースが多いのが特徴です。
不安や疑問がある患者さんへ
- 自分の場合、抜歯が必要なのか知りたい
- まずは前歯だけ整えたい
そのようにお考えの方は、ぜひ一度【たつや歯科】へご相談ください。
歯並びの状態をしっかり確認したうえで、あなたに合った矯正方法をご提案いたします。
これまでに多くの症例を診てきた経験があるからこそ、「本当に治療が必要か」「今は様子を見る選択が良いか」も含めて、専門的な視点でご提案が可能です。
矯正治療に不安や迷いがある方こそ、まずは安心してご相談ください。
当院の部分矯正(片側)の費用
| 矯正装置を付ける歯 6本の場合 (調整料/保定装置料込) |
21万円 +税 |
|---|---|
| 矯正装置を付ける歯 8本の場合 (調整料/保定装置料込) |
28万円 +税 |
| 矯正装置を付ける歯 10本の場合 (調整料/保定装置料込) |
35万円 +税 |



