
すきっ歯になる
原因と治療方法
正中離開・空隙歯列
=通称「すきっ歯」
前歯の歯列において、隙間が生じることを一般的に「すきっ歯」といいます。
- 正中離開(せいちゅうりかい)
- 空隙歯列(くうげきしれつ)
このすきっ歯には、前歯の真ん中に隙間ができる正中離開と、全体的に隙間がある空隙歯列という2つのタイプが存在します。
前歯のすきっ歯は部分矯正で治す!
「すきっ歯」の歯並びに
コンプレックスをお持ちの患者さんへ
すきっ歯の患者さんは、口元の歯並びに悩みを抱く方が多くおり、歯並びが周囲の人に与える印象や、自分自身が鏡で見たときの印象についても気にしているようです。
すきっ歯を矯正治療で治すことで、口元の見た目がガラっとわかりやすく改善されるため、歯並びや笑顔に自信を取り戻す患者さんが多くいらっしゃいます。
部分矯正のたつや歯科では、患者さん一人ひとりに合わせた治療プランをご提案いたします。
すきっ歯のお悩みは、実績豊富な当院までお気軽にご相談ください!
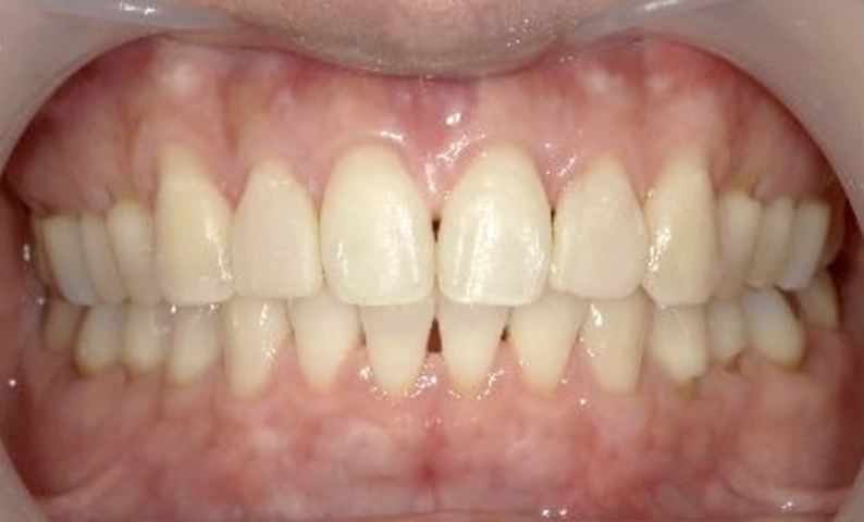
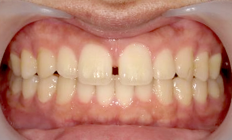
| Before | After |
|---|---|
|
|
症例詳細「治療内容:部分矯正の上顎、費用:21万円+税、治療期間:3ヶ月、リスク:後戻りの可能性」
すきっ歯の判断基準
すきっ歯は、虫歯によって出来た穴ではなく、自然に歯と歯の間に隙間がある状態を言います。
重度の歯周病や虫歯によって奥歯を喪失した際に「すきっ歯」の状態になってしまうこともあります。最も一般的なのは、上前歯の中心に約2mm以上の隙間がある「正中離開」です。また、歯の形が小さくなり円錐状や栓状に変形した「矮小歯(わいしょうし)」という歯の形態異常から隙間が生じることもあります。
下記のような方は「すきっ歯」と
診断される可能性が高いです
- 前歯同士の隙間が2mm以上ある状態
すきっ歯と判断される基準は、個人や専門家によって異なる場合があります。
一般的には前歯同士の隙間が2mm以上ある場合に「すきっ歯=正中離開・空隙歯列」と判断されることが多いです。
すきっ歯のデメリットについて
① 食べ物が噛みきれない
歯と歯の間に隙間があると食べ物がしっかり噛み切れなかったり、食べ物を細かくすり潰すことができず、飲み込めなかったりする可能性があります。
結果的に噛む回数が減少しやすいと考えられています。食べ物を必要な回数噛まずに食べ物を飲み込んでしまうことで、胃腸にかかる負担が大きくなります。
② 発音
歯と歯の間に隙間ができると空気が漏れてしまいます。
従って、すきっ歯の歯並びが原因で、発音時に息が漏れてしまい滑舌が悪化することがあります。
③ 虫歯、歯周病になりやすい
すきっ歯は、歯と歯の隙間に食べ物が詰まりやすく、磨き残しを作りやすい口腔内環境になります。適切に歯磨きをしなければ、虫歯や歯周病のリスクが高まってしまいます。
④ 見た目へのコンプレックス
すきっ歯はパッと見た時に歯の隙間が目立ちます。この“すきっ歯”は一般的にマイナスイメージが強く、コンプレックスを抱く方が多いです。
矯正治療などにより、すきっ歯を改善することで、自身のコンプレックスを克服することに繋がります。
⑤ 歯並びや噛み合わせが悪化する
歯並びにすき間があると、時間の経過とともに、隣の歯が傾いたり、上下反対側の歯が飛び出したりすることがあります。
その結果、噛み合わせや顎のバランスが崩れることがあります。
なぜ、すきっ歯になるのか?
すきっ歯になる原因は、ひと言で「すきっ歯」と言っても原因は多種多様です。
大きく分けるとしたら、先天的な原因と後天的な原因に分けられます。
| 先天的 | 生まれつきの骨格など、 遺伝的な原因 |
|---|---|
| 後天的 | 成長途中の習慣や癖が原因 |
先天的な原因
① 遺伝的要因
骨格や顎の形状は遺伝しやすいため、親族と同じ歯並び(すきっ歯)になる確率が高くなります。
また、歯の大きさも遺伝しやすい傾向があり、遺伝的に歯が小さい、または歯の形が悪い場合は、通常の歯と比べて歯と歯の間に大きなスペースが生じ、すきっ歯になりやすくなります。
② 歯が生える本数が少ない
「先天性欠損」とは、生まれつき歯が不足している状態を指します。
通常、永久歯は上下合わせて28本の歯が生えてきますが、まれに、生えるべき歯が生えてこなかったり、先天的に歯の本数が少なかったりすると、本来その場所にあるはずの歯がなくなり、歯と歯の間にスペースが生じ、すきっ歯になってしまうことがあります。
③ 歯が生える本数が多い(過剰歯)
通常の歯の本数を超えて生えてくる歯を「過剰歯(かじょうし)」と呼びます。
歯の本数が通常よりも多い場合でも、すきっ歯になる可能性があります。特に、上の前歯の間にある顎の骨に「埋伏過剰歯」と呼ばれる歯が埋まっている場合には、過剰歯が隣接する歯に圧迫されるため、前歯同士の間が広がり、すきっ歯になることがあります。
④ 上唇小帯の異常
「上唇小帯(じょうしんしょうたい)」とは、上唇をめくった時に見える歯茎から粘膜まで続く縦の帯状の組織のことを指します。通常よりも太く、歯の根本まで伸びている上唇小帯を持っている場合、前歯同士が近づけず、隙間が生じることがあります。
後天的な原因
① おしゃぶり、指しゃぶり、舌癖
乳幼児期に長期間おしゃぶり・指しゃぶりをしていると歯が内側から押されて、すきっ歯・開咬・不正咬合になりやすくなります。また、舌の力は強いため、舌を歯に押し付けるクセがある場合は同様に、前歯に負荷がかかり、歯の隙間が生じることがあります。
② 歯周病や抜歯による影響
歯周病が進行すると、歯を支えるための歯槽骨が減少し、歯が揺れ始めます。その結果、歯と歯の間にスペースが生じ、すきっ歯になるリスクが高まります。また、歯列矯正において抜歯を行った場合も、矯正治療後に歯が元の位置に戻ってしまい、前歯同士に隙間が生じることがあります。
すきっ歯の治療方法
矯正治療 or セラミック治療
| 歯列矯正 | 矯正装置(ブラケット)とワイヤーを歯に装着し乱れた歯並び・噛み合わせを整えます。 矯正治療後は保定装置を正しく使用することで歯並びを永久的にキープすることができます。 |
|---|---|
| ダイレクト ボンディング |
歯の隙間にハイブリッドセラミックを直接盛り付けることで、すきっ歯を改善します。隙間の分、歯の横幅が大きくなってしまいます。 年数が経つと変色することがあり、歯と同程度に詰め物が欠けたり割れたりする可能性があります。 |
| 補綴治療 (セラミック矯正) |
歯を削った部分に被せ物をして歯並びを揃えます。歯を削ることは、歯の寿命を短くすることに繋がるため、天然歯に問題がない場合はおすすめしない治療方法です。 歯を削る補綴治療のセラミックの被せ物の寿命は一般的に10年程度となります。 |
すきっ歯を治す
最も一般的な方法は、
矯正治療です。
天然の歯を削らずに、
すきっ歯を治せることが
最大のメリットです。
たつや歯科の部分矯正
「すきっ歯」を治す治療期間
簡単なケースでは3ヶ月程度で、
平均6ヶ月程度で
キレイな歯並びになります。
すきっ歯の歯並びからキレイに整った歯並びをキープするためにも、矯正治療後はリテーナー(保定装置)を正しく使用しましょう!後戻り防止として、ならべく長い期間使用して頂くことをオススメしております。
部分矯正のたつや歯科では、
患者さん一人ひとりに合わせた治療プランをご提案いたします。
すきっ歯のお悩みは、実績豊富な当院までお気軽にご相談ください!
当院の精密検査は健康保険3割適用で3,500〜4,000円程度ですので、ぜひご検討ください。
※本ページに掲載している治療費は、
各症例の治療当時の料金を記載しております。
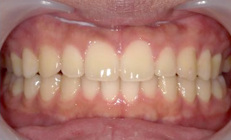
| Before | After |
|---|---|
|
|
症例詳細「治療内容:部分矯正の上顎、費用:24万円+税、治療期間:6ヶ月、リスク:後戻りの可能性」
年齢別の症例を見る
“大人に選ばれる”
前歯だけの短期部分矯正
最短3ヶ月でキレイな歯並びへ
いつまでも続く
美しい口元と
輝ける笑顔
すきっ歯・出っ歯・八重歯
前歯のガタガタにお悩みの方へ
【たつや歯科】東京都豊島区|前歯だけの部分矯正専門クリニック。治療実績8,000件以上の部分矯正認定医が、すきっ歯・出っ歯・八重歯・ガタガタを最短3ヶ月で整えます。高度な技術で短期間に理想の歯並びを実現。痛みが少なく、通院回数も少ないので大人の方に選ばれています。
部分矯正を検討中の方は、実績豊富な当院にお任せください。
- 矯正装置1本3.5万円
- 通院毎の調整料0円
- 院内分割:手数料0円
- 目立たないワイヤー矯正
【2回目以降のご予約について】
当院では、2回目以降のご予約専用ダイヤルを
ご用意しております ▼
お電話が繋がらない場合はこちら ▼



