
たつや歯科の部分矯正
「30代の症例集」
※本ページに掲載している治療費は、
各症例の治療当時の料金を記載しております。
気になる前歯を数ヶ月で美しく
1本3.5万円で始められる
「たつや歯科の部分矯正」
- 前歯の歯並びだけが気になる
- 気になる前歯だけ矯正治療したい
そんなお悩みに応えるのが、
東京都豊島区「たつや歯科」です。
| 料金 | 矯正装置1本あたり3.5万円+税 (調整料/保定装置料込) |
|---|
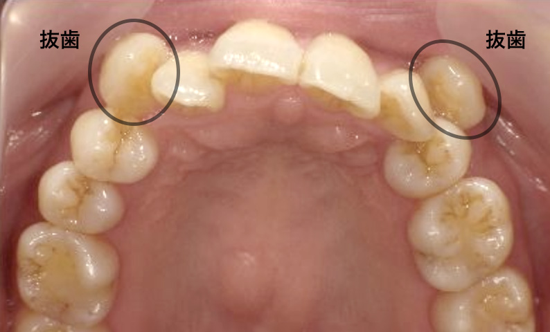
※部分矯正は“最低6本の歯”に矯正装置を付けます。
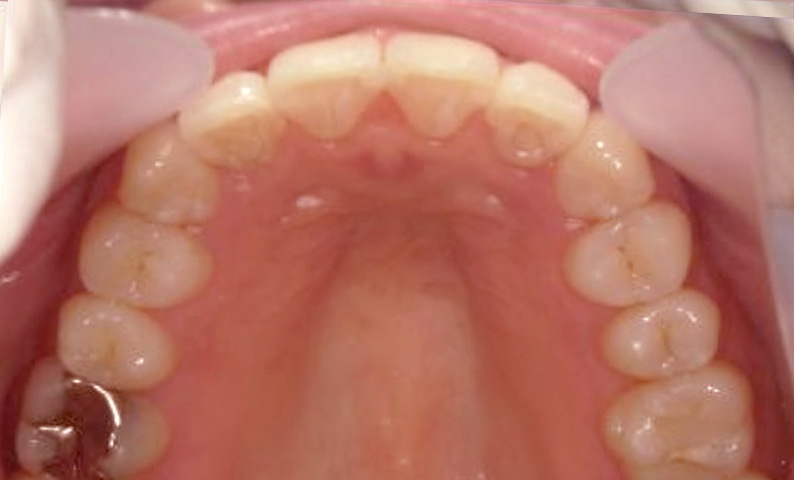
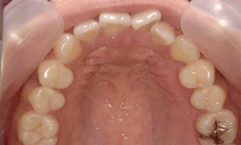
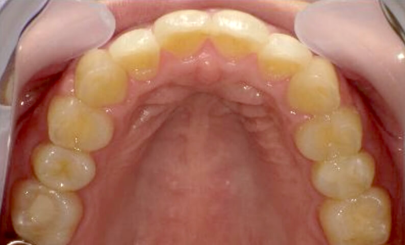
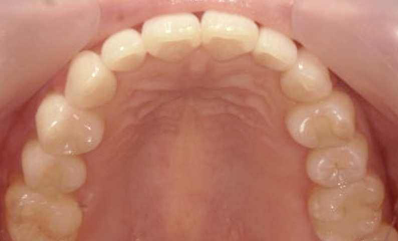
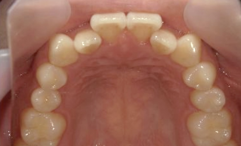
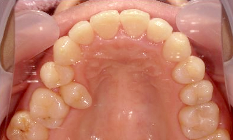
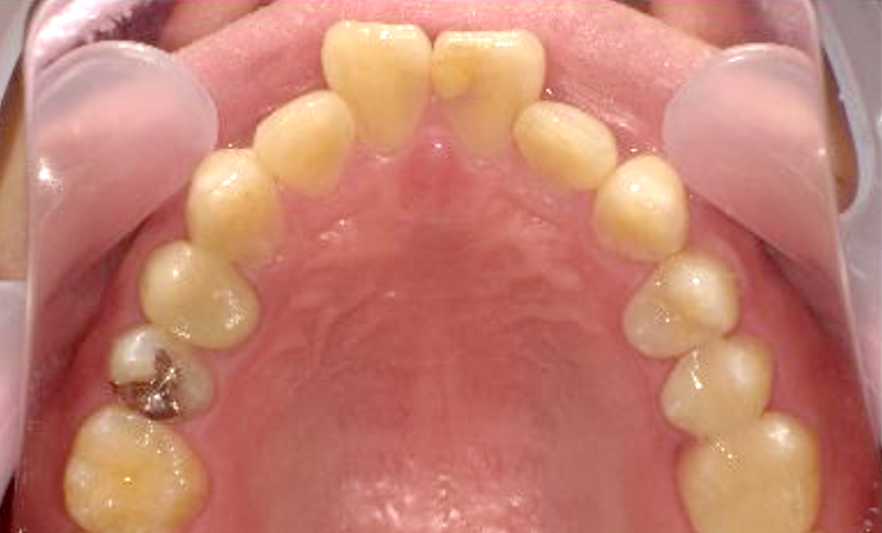
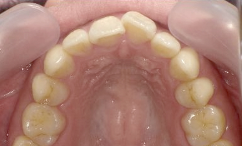
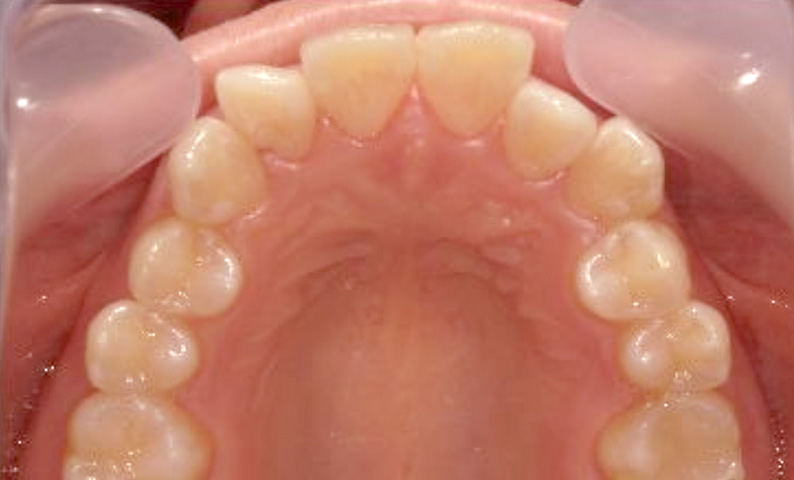
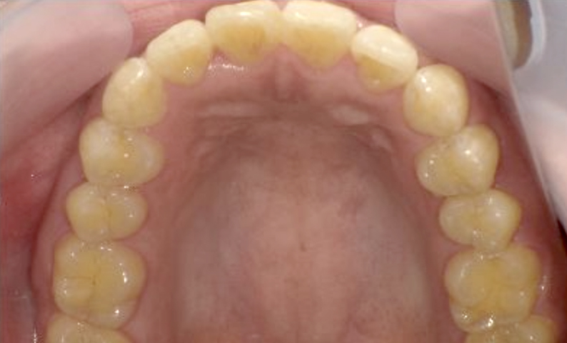
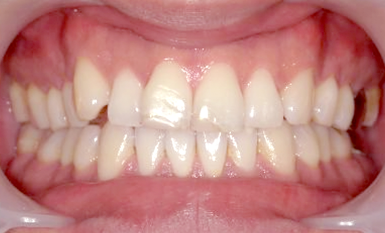
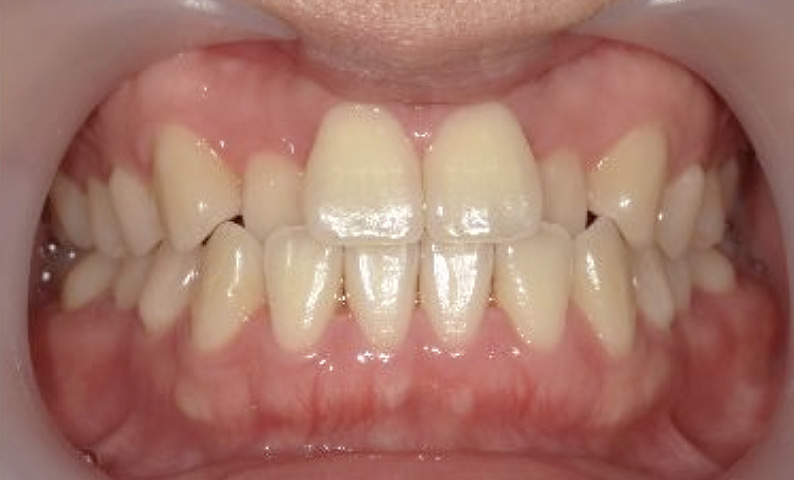
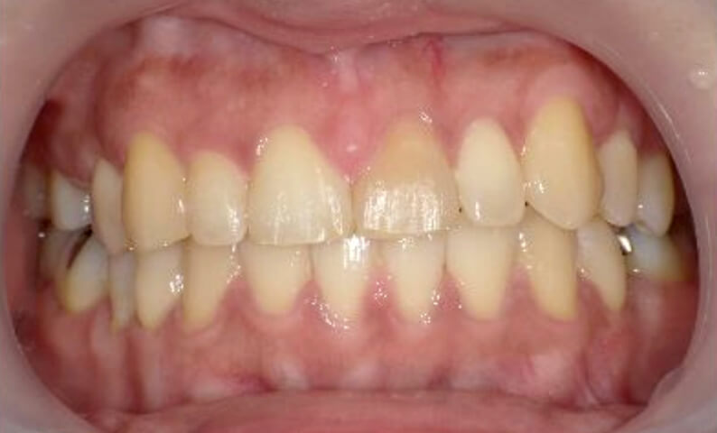
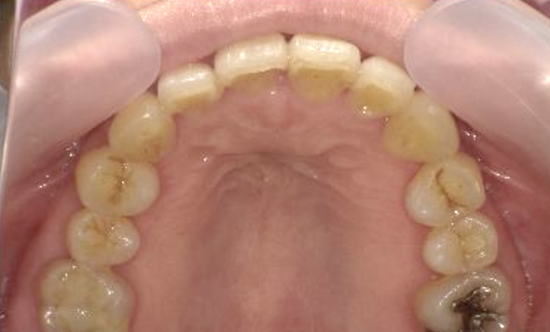
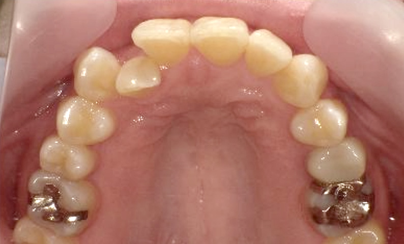
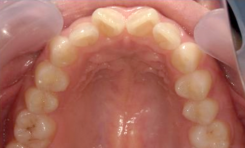
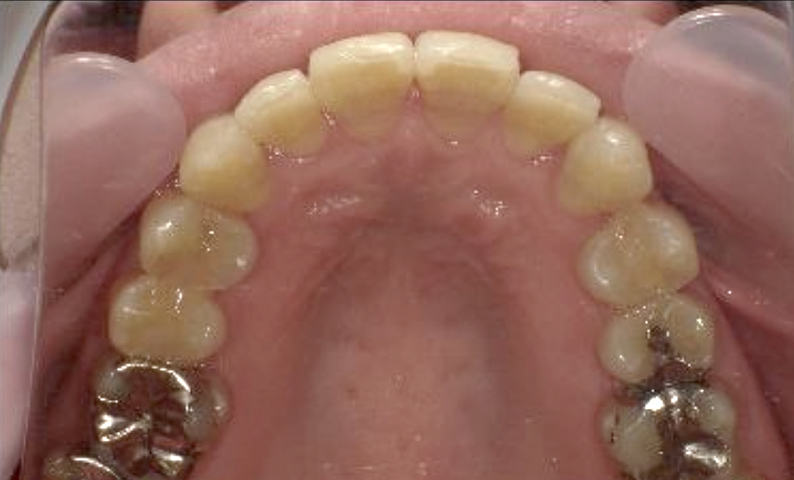
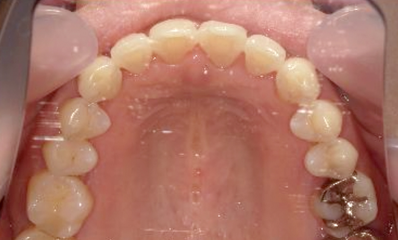
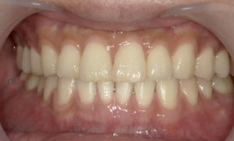
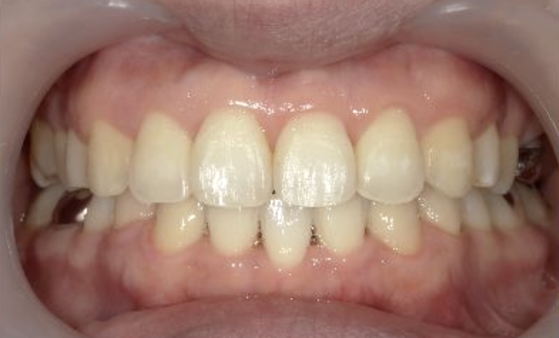
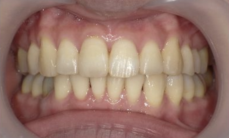
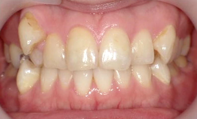
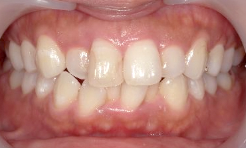
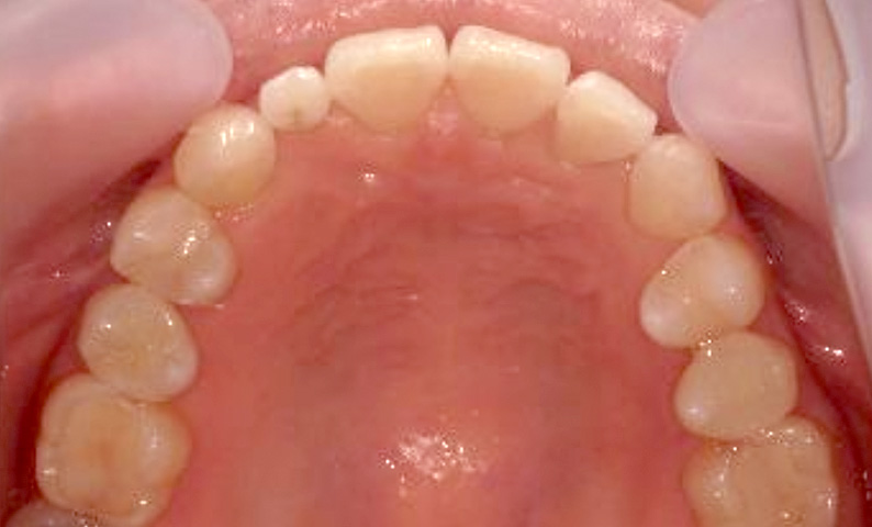
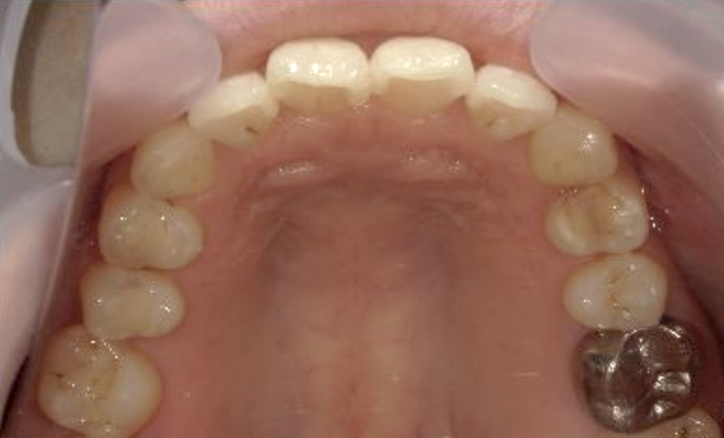
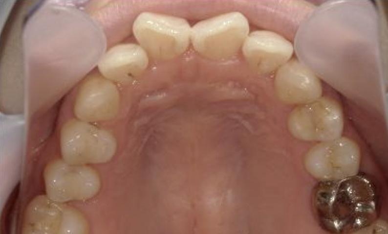
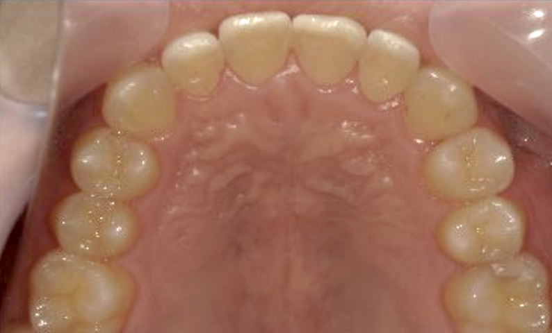
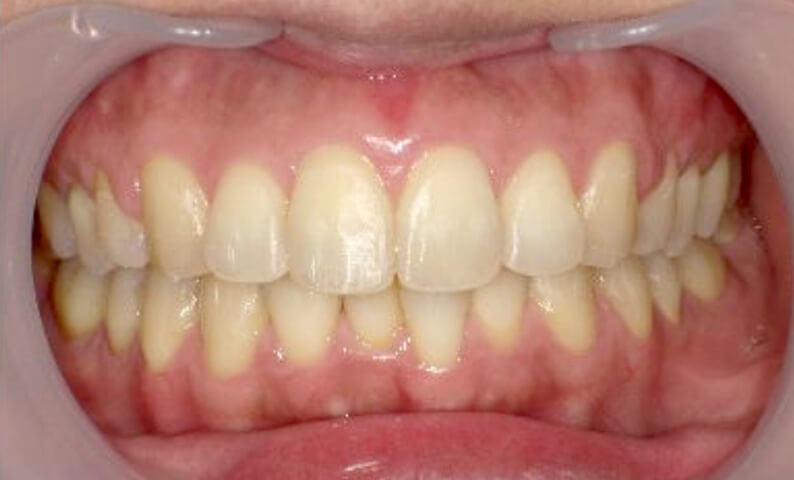
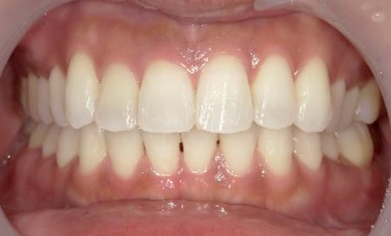
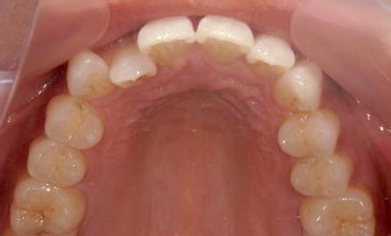
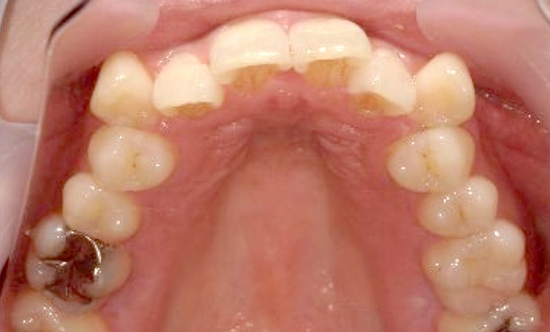
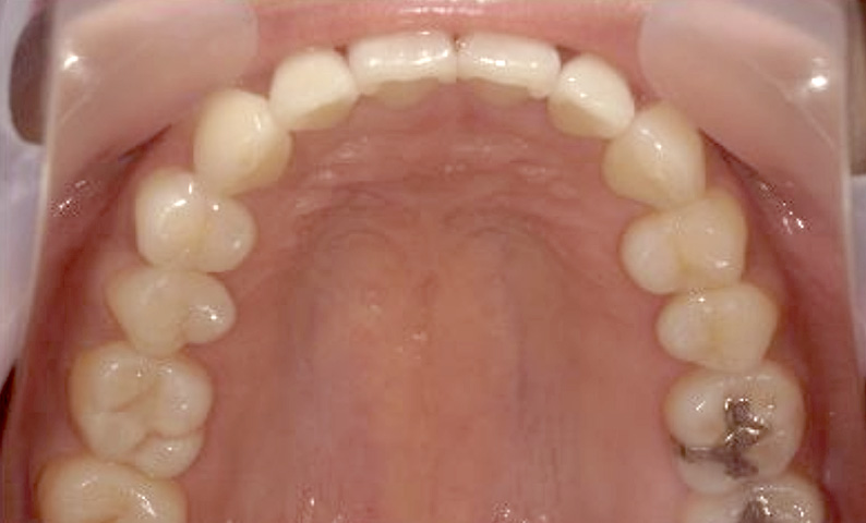
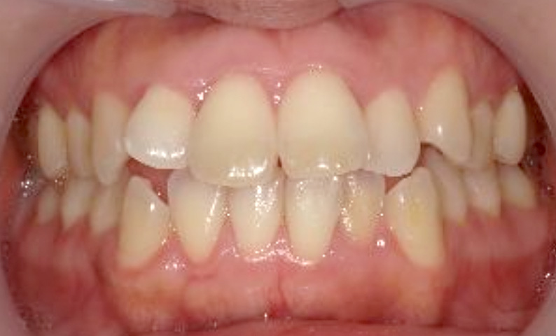
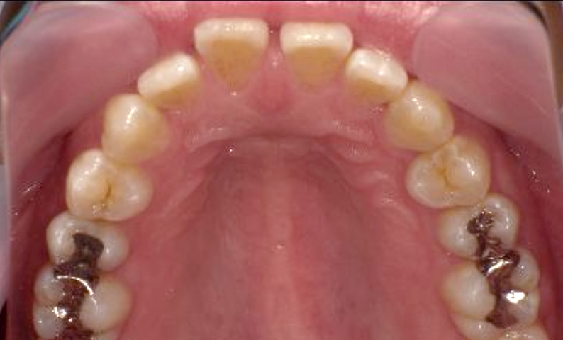
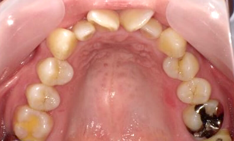
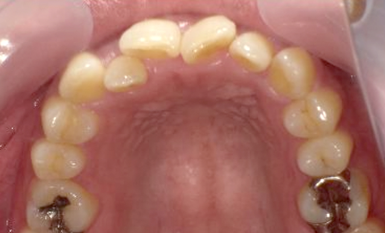
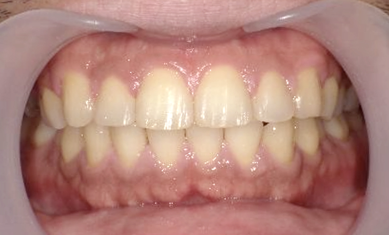
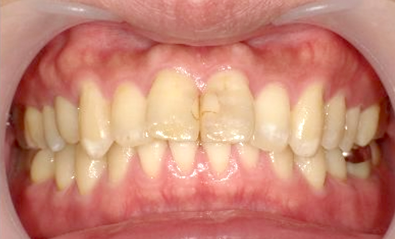
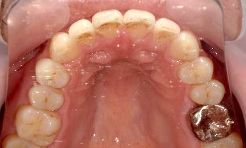
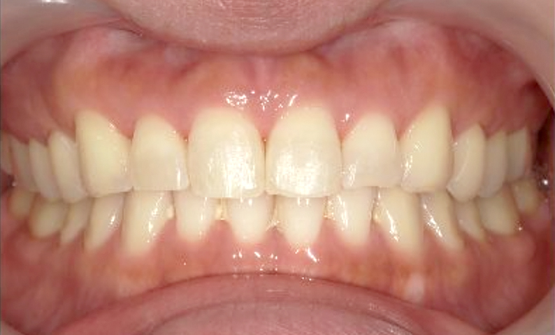
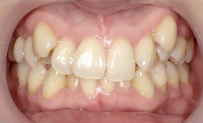
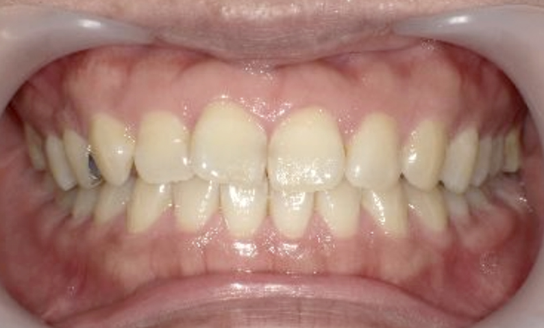
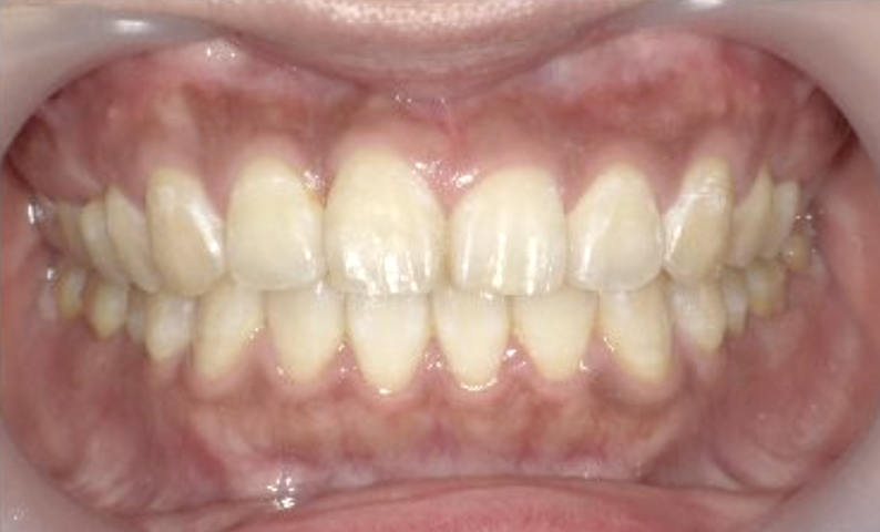
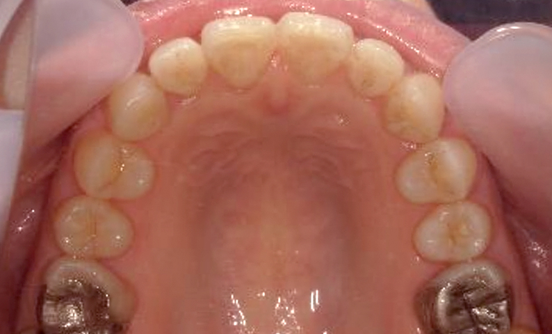
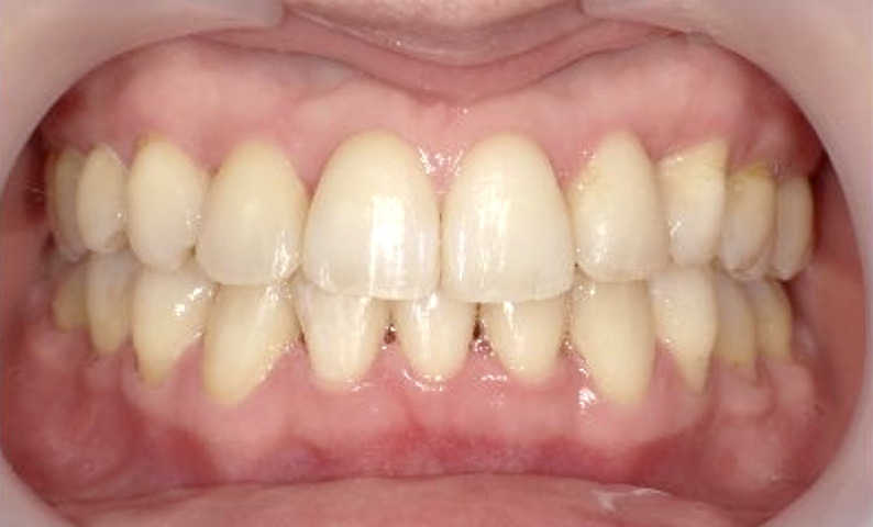
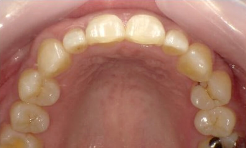
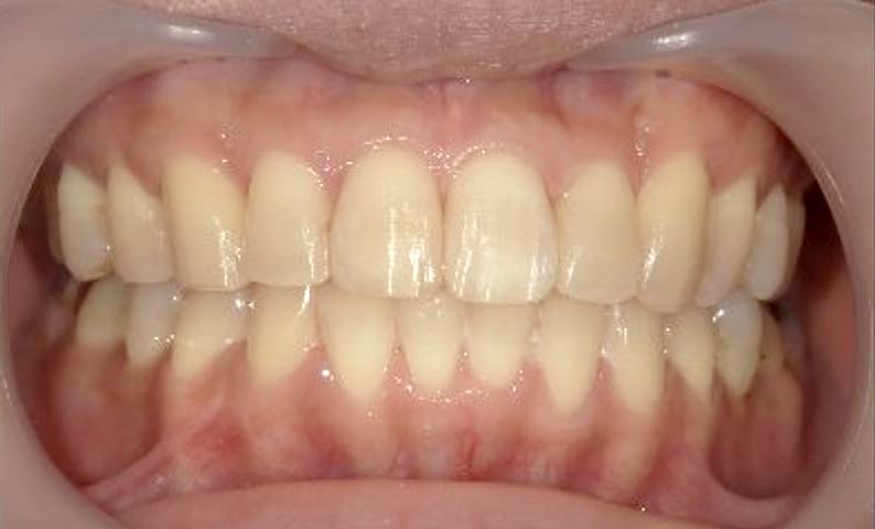
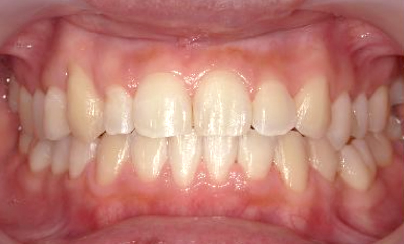
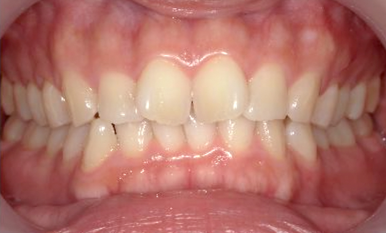
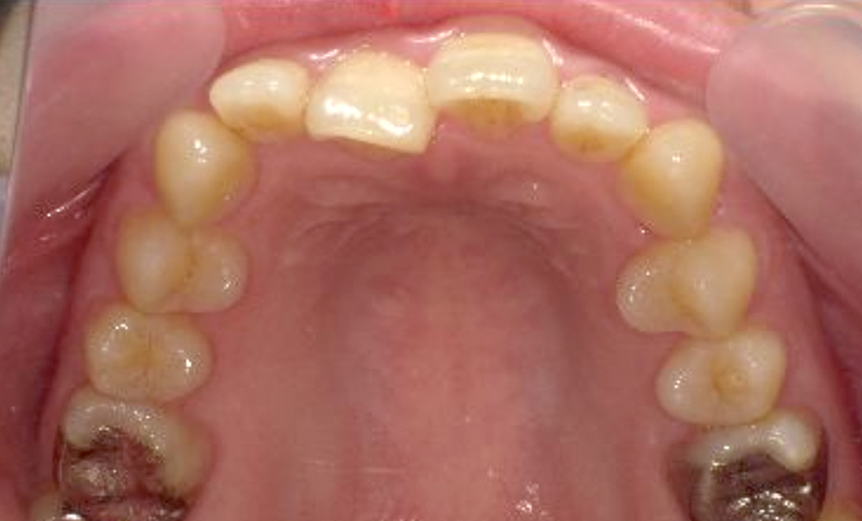
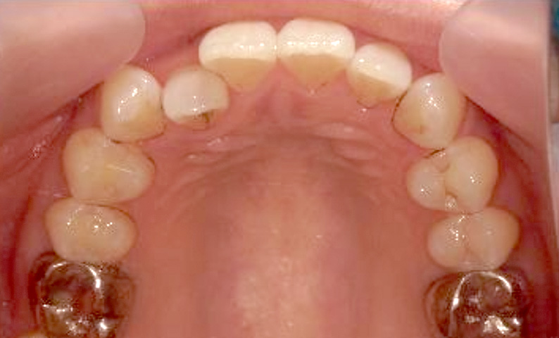
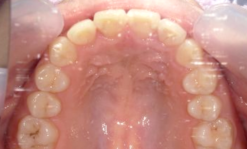
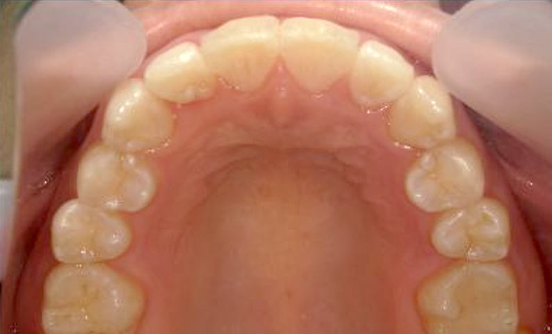
「30代の症例集」:上顎だけの症例
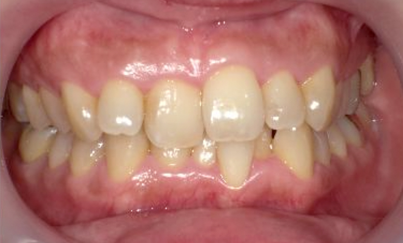
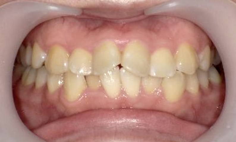
症例_016 上顎だけの部分矯正
治療期間:6ヶ月金額:24万円+税女性八重歯上の前歯だけ
| Before | After |
|---|---|
|
|
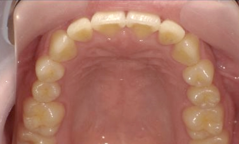
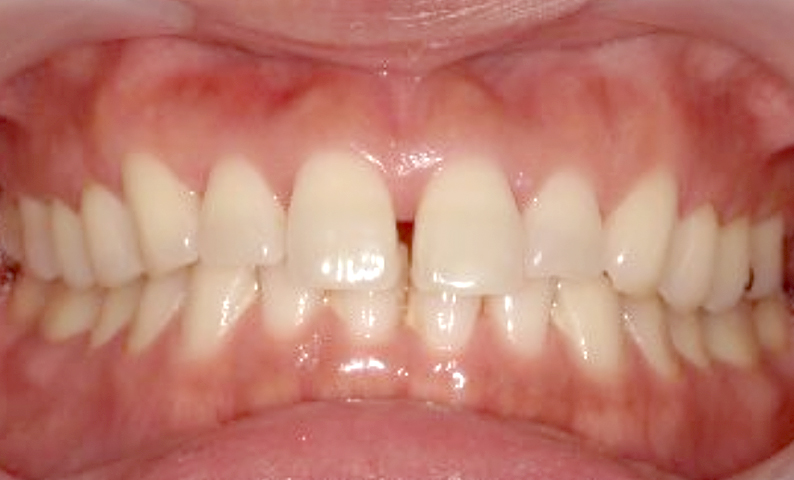
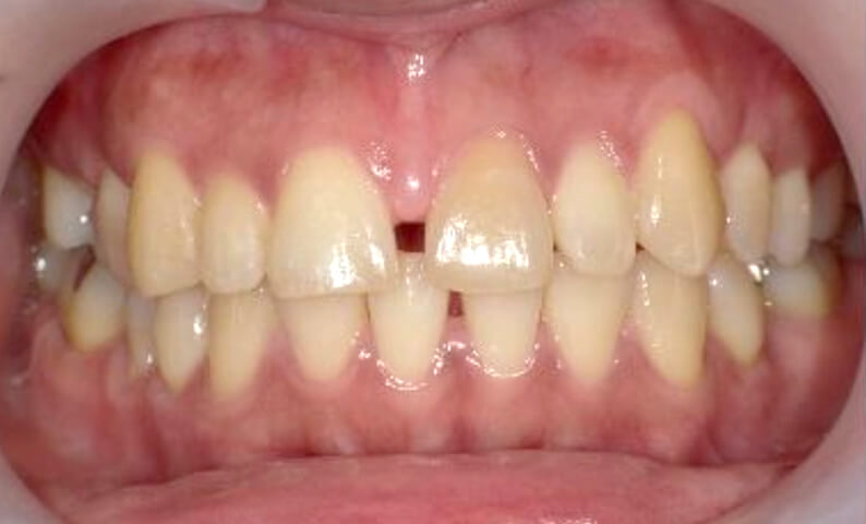
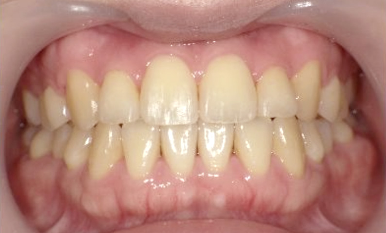
症例_015 上顎だけの部分矯正
治療期間:6ヶ月金額:24万円+税女性すきっ歯上の前歯だけ
| Before | After |
|---|---|
|
|
症例_014 上顎だけの部分矯正
治療期間:6ヶ月金額:30万円+税女性出っ歯上の前歯だけ
| Before | After |
|---|---|
|
|
症例_013 上顎だけの部分矯正
治療期間:6ヶ月金額:24万円+税女性すきっ歯上の前歯だけ
| Before | After |
|---|---|
|
|
症例_012 上顎だけの部分矯正
治療期間:6ヶ月金額:27万円+税女性一部の反対咬合前歯のガタガタ上の前歯だけ
| Before | After |
|---|---|
|
|
症例_011 上顎だけの部分矯正
治療期間:8ヶ月金額:30万円+税男性ちょっとのズレ八重歯上の前歯だけ
| Before | After |
|---|---|
|
|
症例_010 上顎だけの部分矯正
治療期間:5ヶ月金額:24万円+税女性ちょっとのズレ綺麗な歯並び上の前歯だけ
| Before | After |
|---|---|
|
|
症例_009 上顎だけの部分矯正
治療期間:6ヶ月金額:30万円+税女性前歯のガタガタ上の前歯だけ
| Before | After |
|---|---|
|
|
症例_008 上顎だけの部分矯正
治療期間:7ヶ月金額:30万円+税女性前歯のガタガタ出っ歯上の前歯だけ
| Before | After |
|---|---|
|
|
症例_007 上顎だけの部分矯正
治療期間:9ヶ月金額:30万円+税女性前歯のガタガタ上の前歯だけ
| Before | After |
|---|---|
|
|
症例_006 上顎だけの部分矯正
治療期間:7ヶ月金額:24万円+税女性逆八の字上の前歯だけ
| Before | After |
|---|---|
|
|
症例_005 上顎だけの部分矯正
治療期間:7ヶ月金額:27万円+税男性反対咬合上の前歯だけ
| Before | After |
|---|---|
|
|
症例_004 上顎だけの部分矯正
治療期間:6ヶ月金額:24万円+税女性すきっ歯上の前歯だけ
| Before | After |
|---|---|
|
|
症例_003 上顎だけの部分矯正
治療期間:9ヶ月金額:30万円+税女性前歯のガタガタ上の前歯だけ
| Before | After |
|---|---|
|
|
症例_002 上顎だけの部分矯正
治療期間:9ヶ月金額:24万円+税男性すきっ歯上の前歯だけ
| Before | After |
|---|---|
|
|
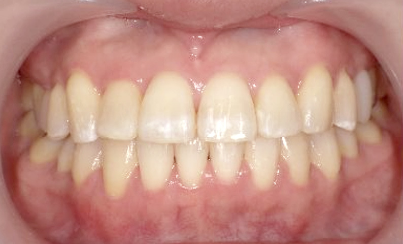
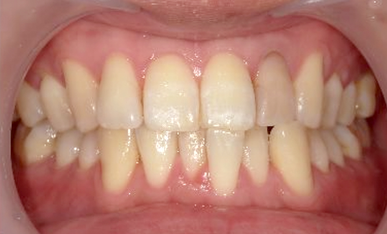
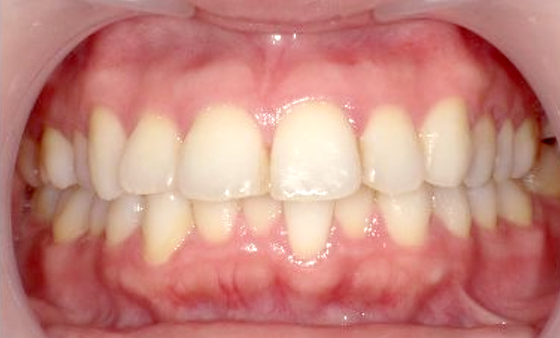
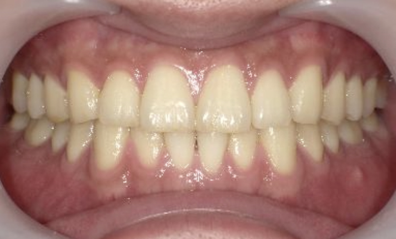
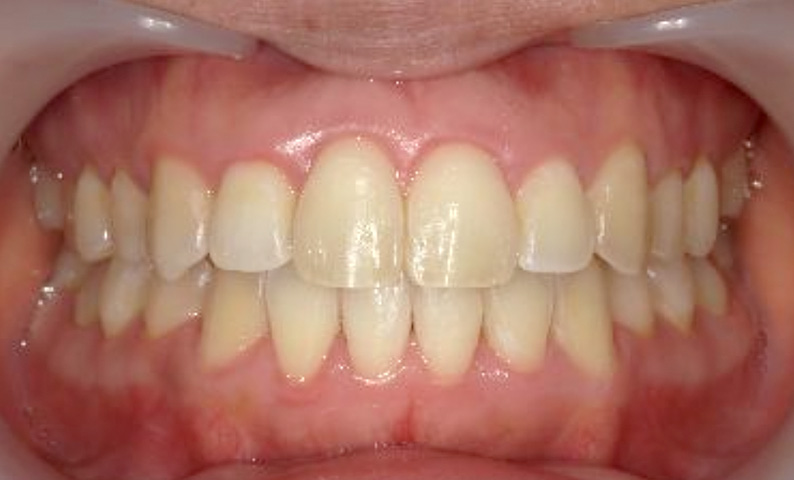
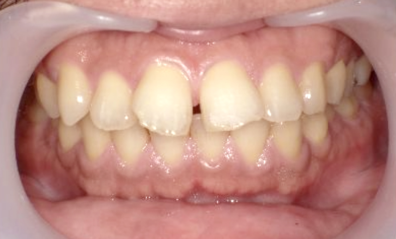
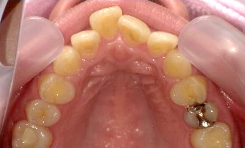
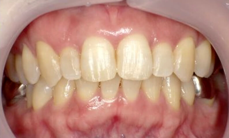
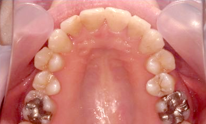
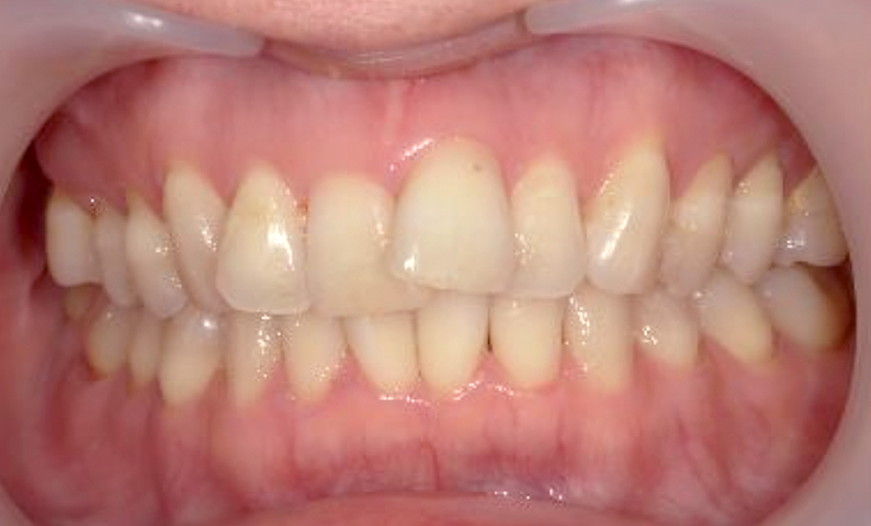
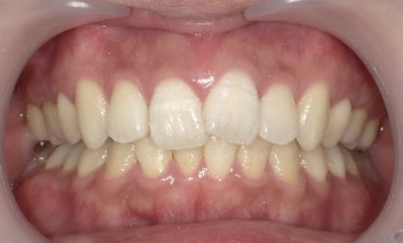
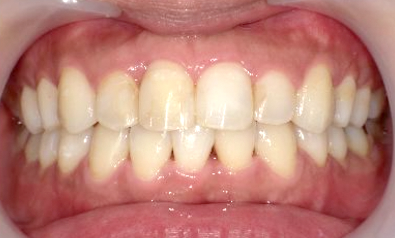
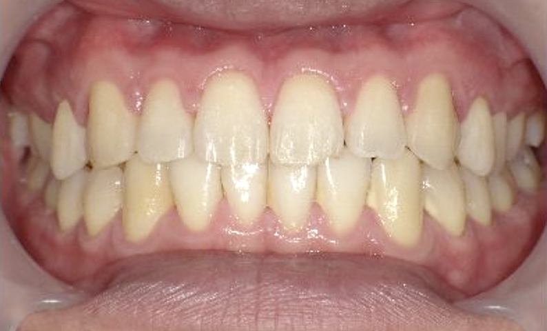
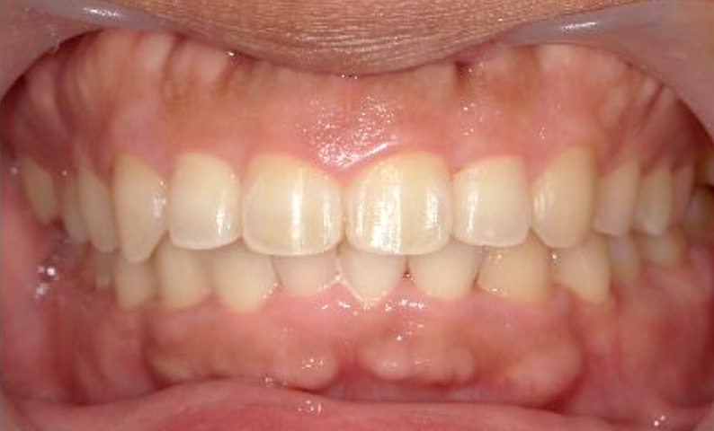
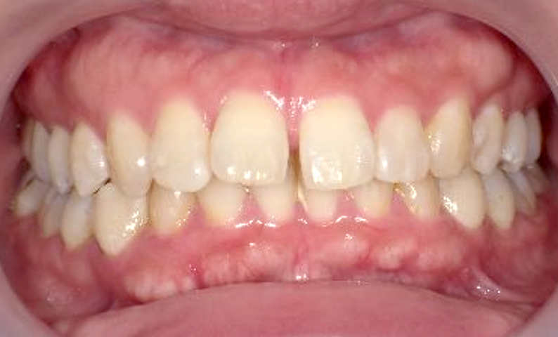
症例_001 上顎だけの部分矯正
治療期間:10ヶ月金額:24万円+税男性すきっ歯上の前歯だけ
| Before | After |
|---|---|
|
|
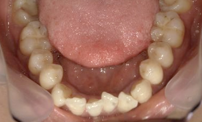
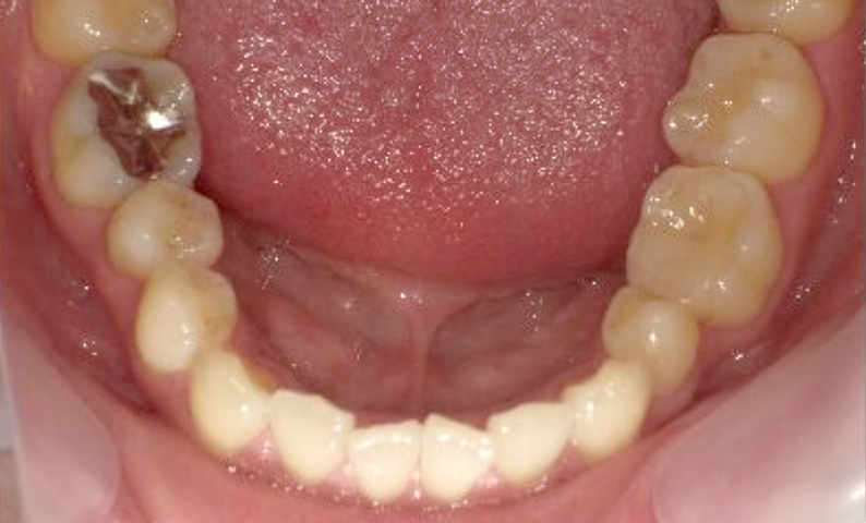
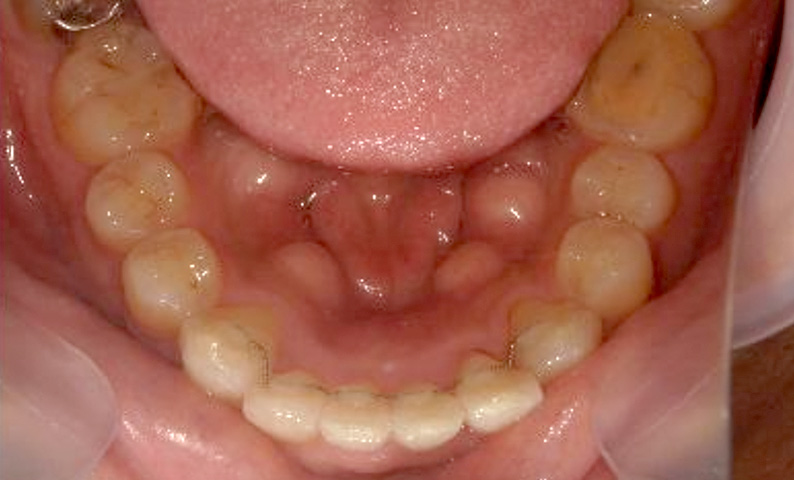
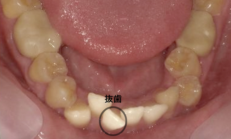
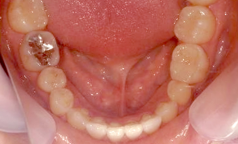
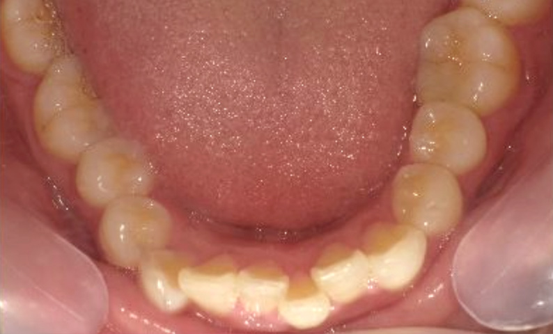
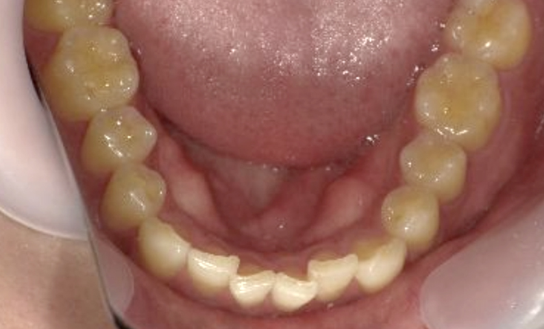
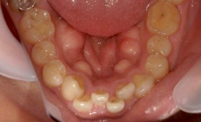
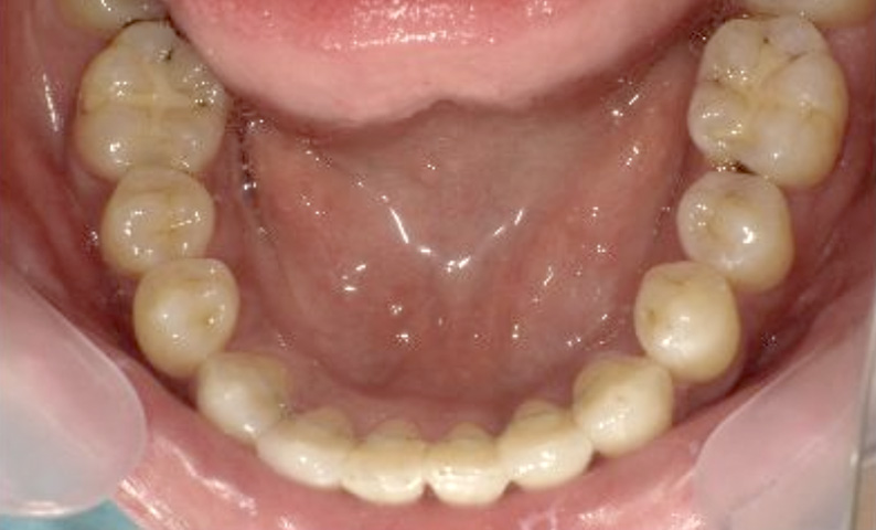
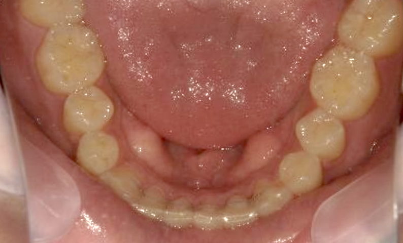
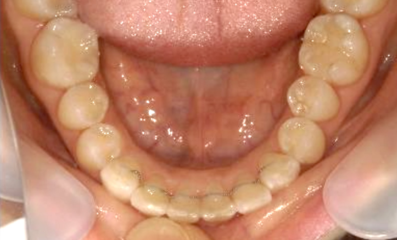
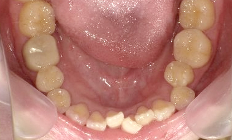
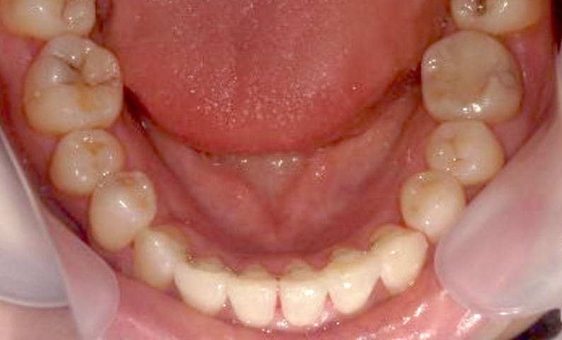
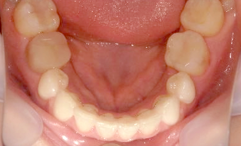
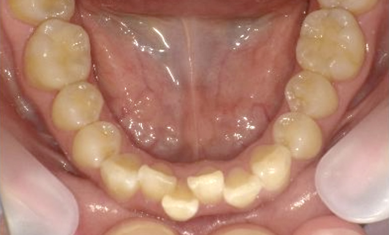
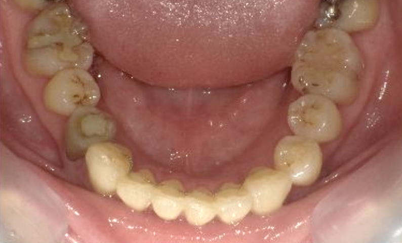
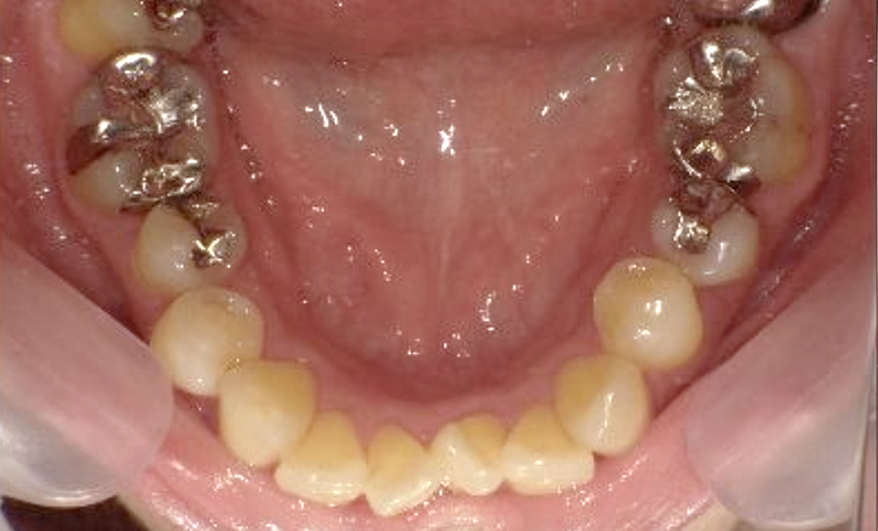
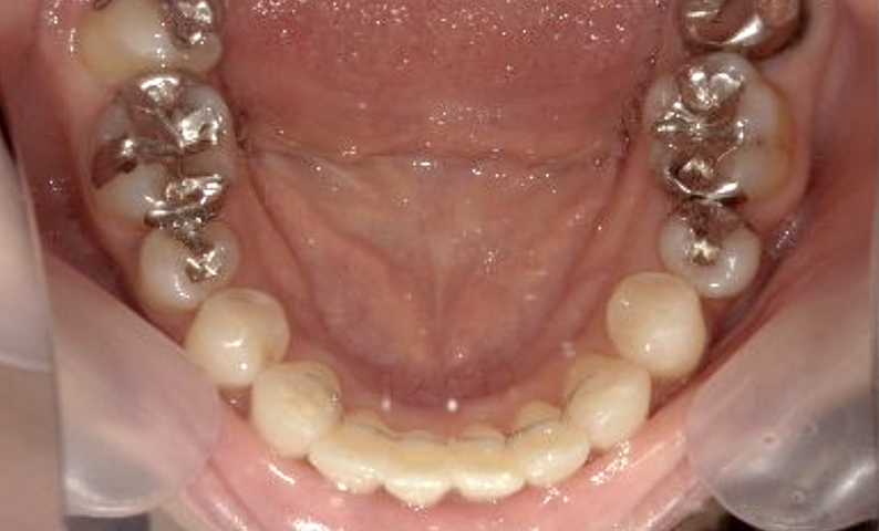
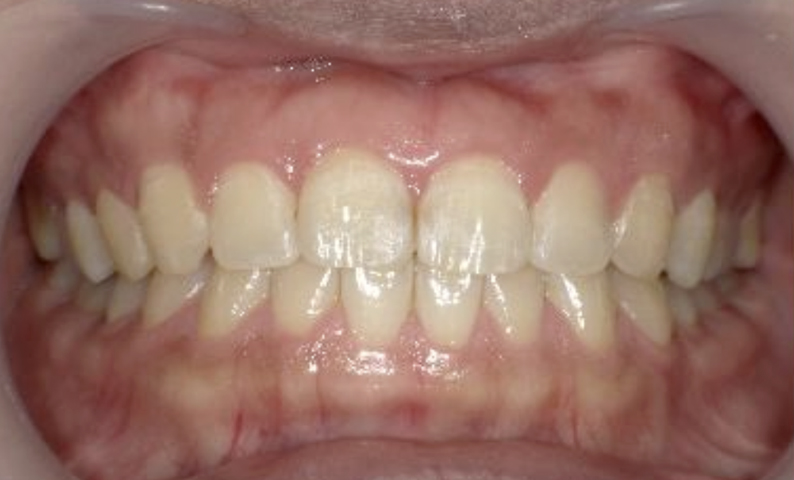
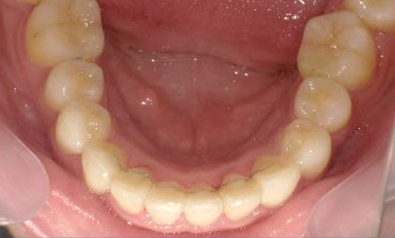
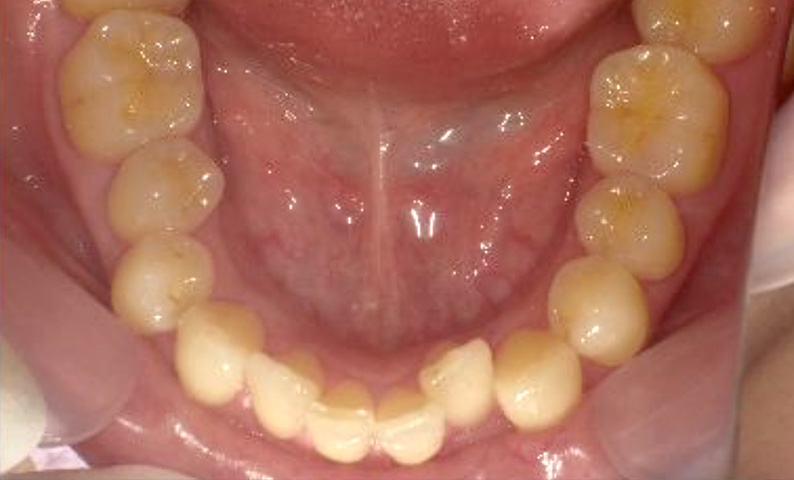
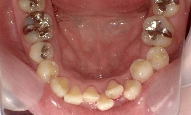
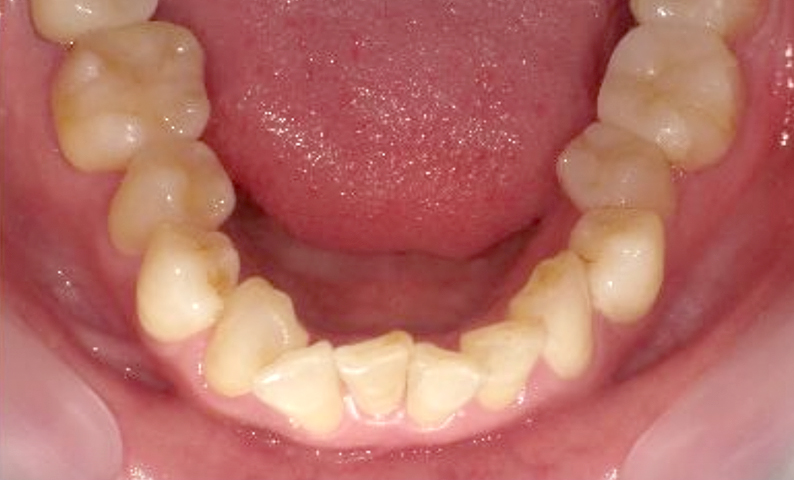
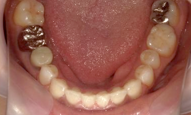
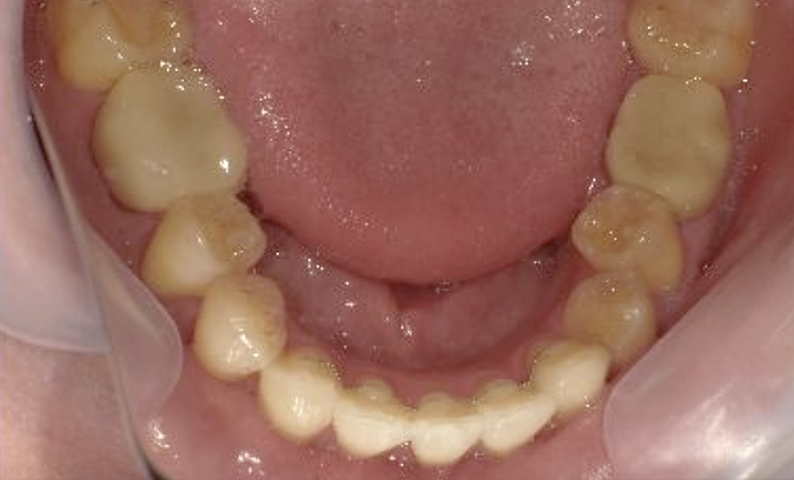
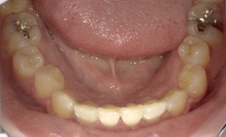
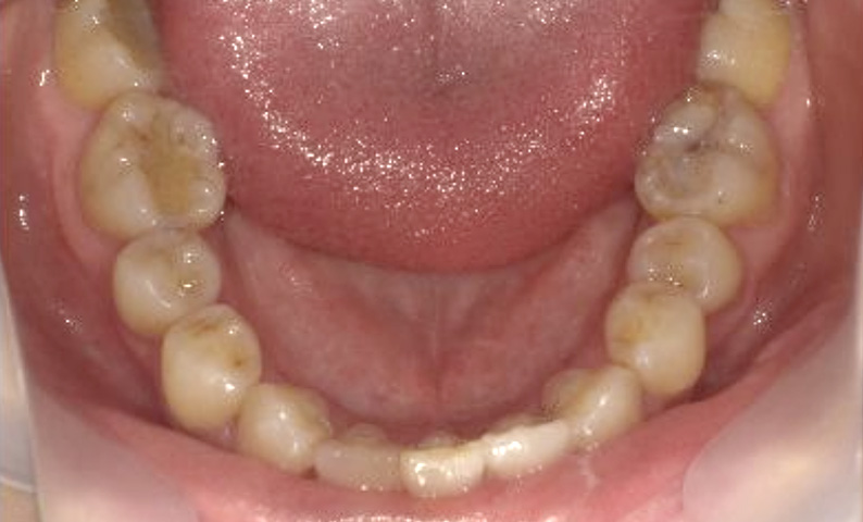
「30代の症例集」:下顎だけの症例
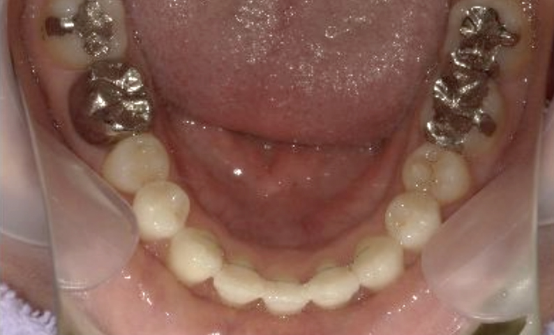
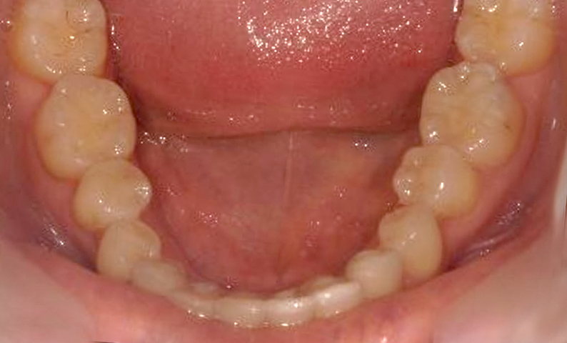
症例_005 下顎だけの部分矯正
治療期間:9ヶ月金額:27万円+税男性前歯のガタガタ下の前歯だけ
| Before | After |
|---|---|
|
|
症例_004 下顎だけの部分矯正
治療期間:6ヶ月金額:30万円+税女性前歯のガタガタ下の前歯だけ
| Before | After |
|---|---|
|
|
症例_003 下顎だけの部分矯正
治療期間:6ヶ月金額:30万円+税女性前歯のガタガタ下の前歯だけ
| Before | After |
|---|---|
|
|
症例_002 下顎だけの部分矯正
治療期間:6ヶ月金額:30万円+税男性前歯のガタガタ下の前歯だけ
| Before | After |
|---|---|
|
|
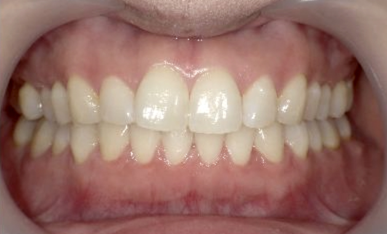
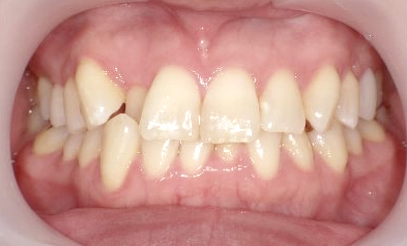
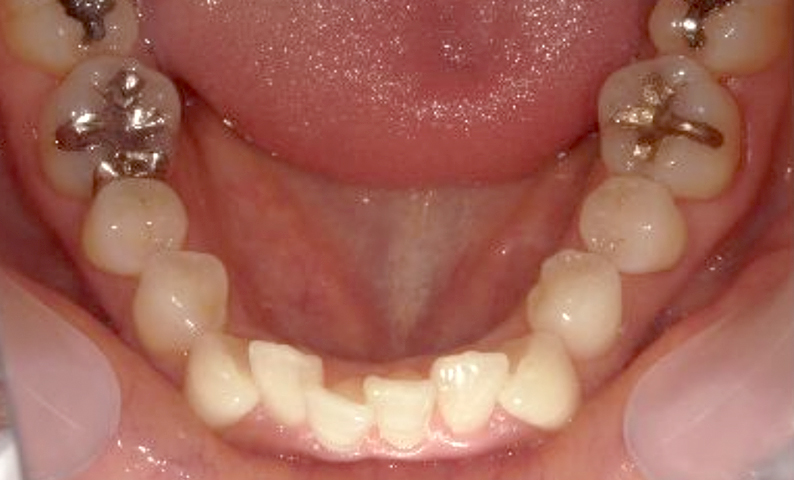
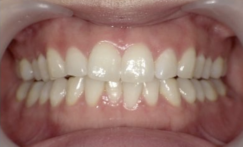
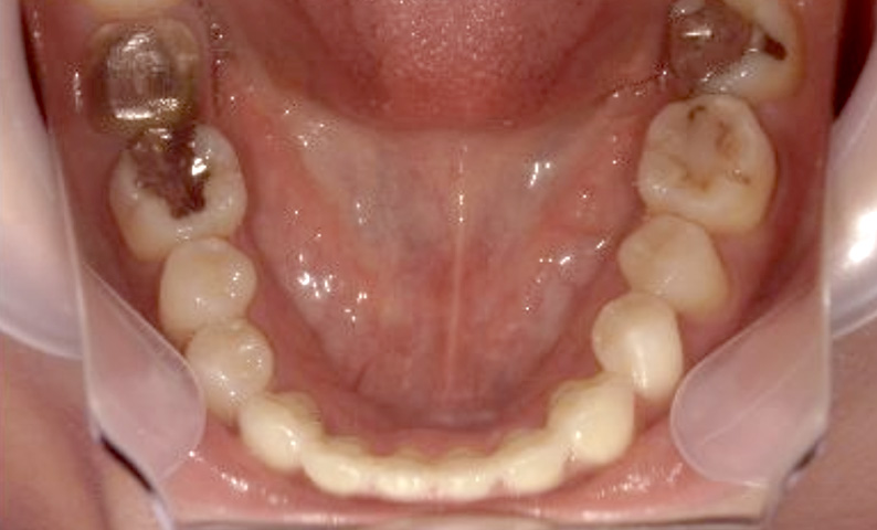
症例_001 下顎だけの部分矯正
治療期間:6ヶ月金額:24万円+税女性前歯のガタガタ下の前歯だけ
| Before | After |
|---|---|
|
|
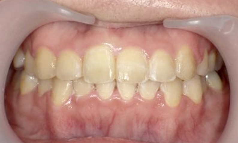
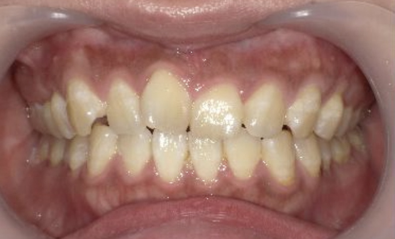
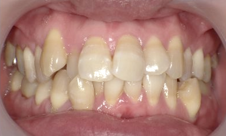
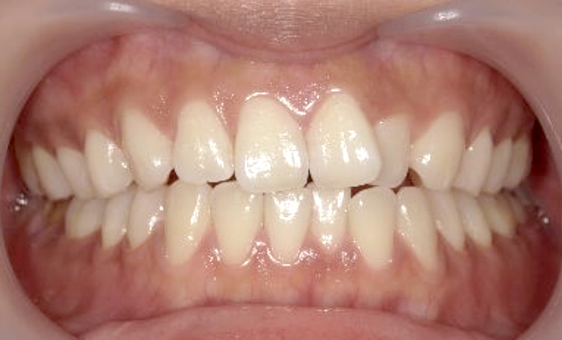
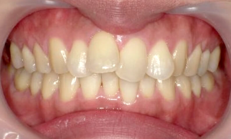
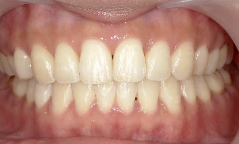
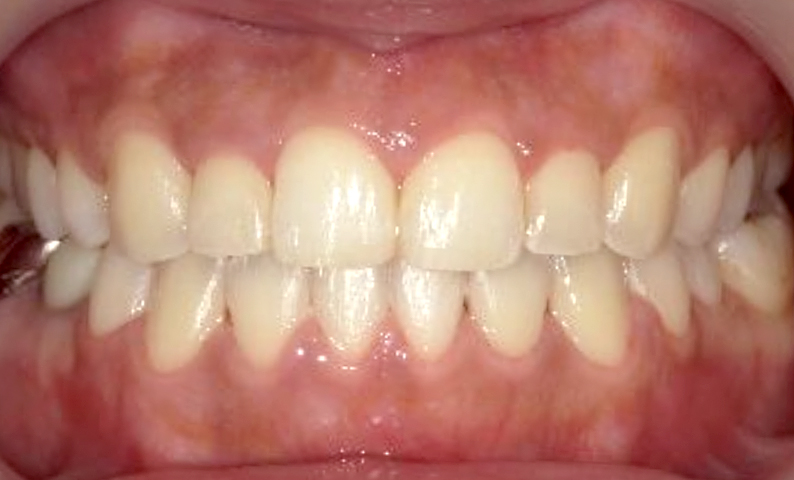
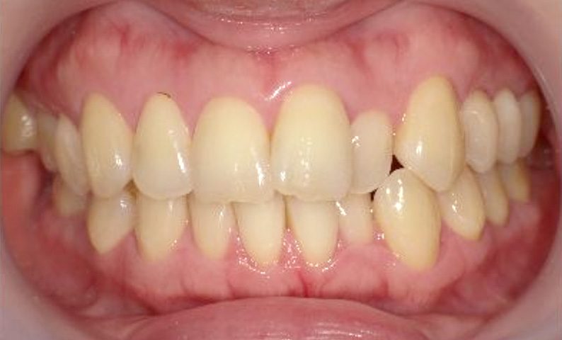
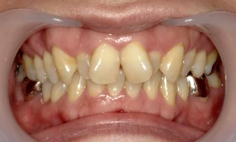
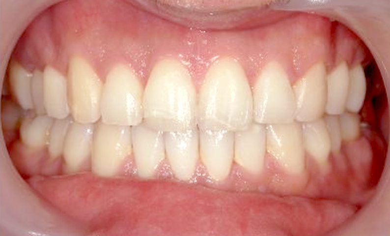
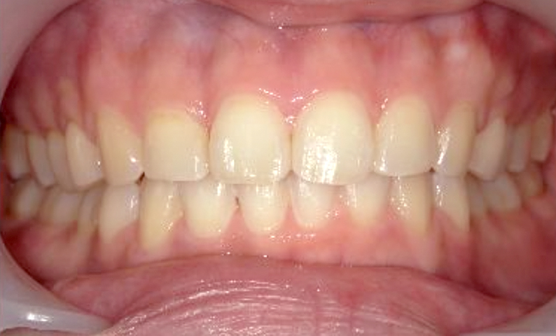
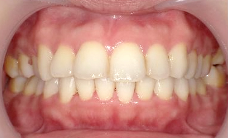
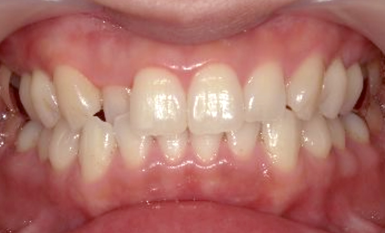
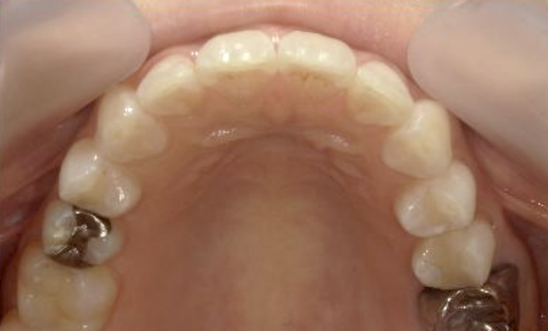
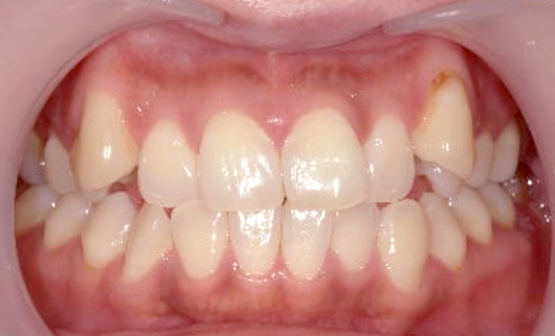
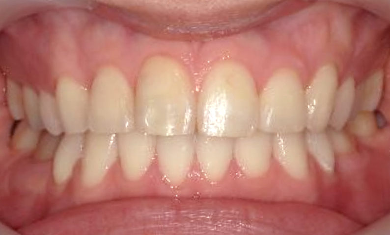
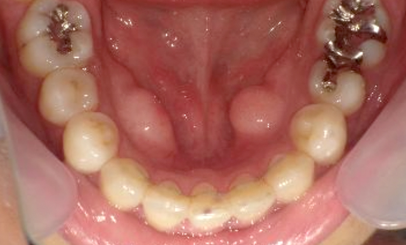
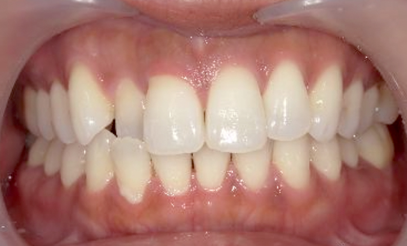
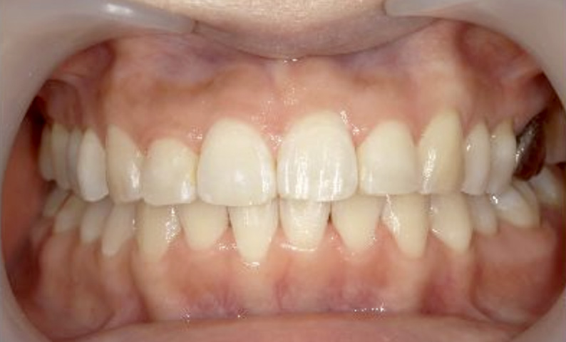
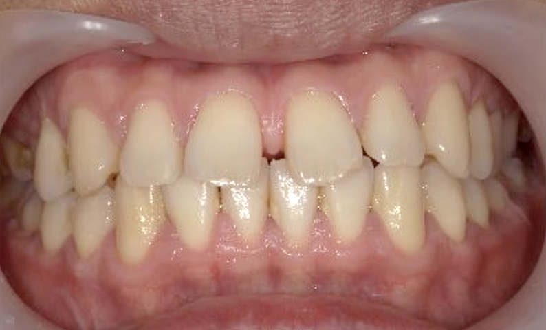
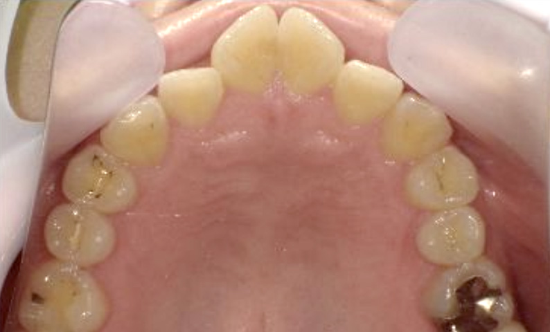
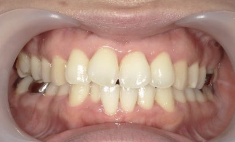
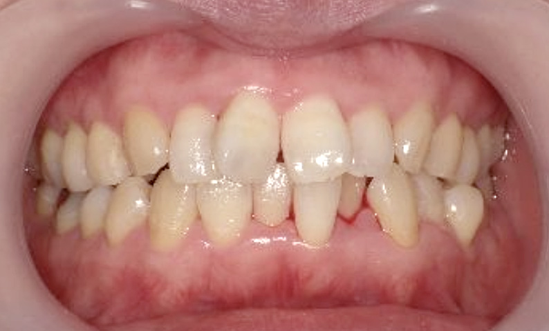
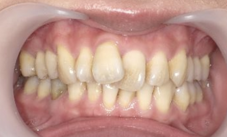
「30代の症例集」:上下顎の症例
症例_025 上下顎の部分矯正
治療期間:10ヶ月金額:48万円+税女性前歯のガタガタ
| Before | After |
|---|---|
|
|
症例_024 上下顎の部分矯正
治療期間:12ヶ月金額:54万円+税女性前歯のガタガタ反対咬合
| Before | After |
|---|---|
|
|
症例_023 上下顎の部分矯正
治療期間:7ヶ月金額:54万円+税女性前歯のガタガタ
| Before | After |
|---|---|
|
|
症例_022 上下顎の部分矯正
治療期間:11ヶ月金額:54万円+税女性前歯のガタガタ出っ歯
| Before | After |
|---|---|
|
|
症例_021 上下顎の部分矯正
治療期間:8ヶ月金額:54万円+税女性前歯のガタガタ逆八の字
| Before | After |
|---|---|
|
|
症例_020 上下顎の部分矯正
治療期間:11ヶ月金額:57万円+税女性前歯のガタガタ八重歯
| Before | After |
|---|---|
|
|
症例_019 上下顎の部分矯正
治療期間:12ヶ月金額:54万円+税女性前歯のガタガタ八重歯
| Before | After |
|---|---|
|
|
症例_018 上下顎の部分矯正
治療期間:13ヶ月金額:51万円+税女性前歯のガタガタ八重歯
| Before | After |
|---|---|
|
|
症例_017 上下顎の部分矯正
治療期間:11ヶ月金額:54万円+税女性出っ歯前歯のガタガタ
| Before | After |
|---|---|
|
|
症例_016 上下顎の部分矯正
治療期間:6ヶ月金額:51万円+税女性前歯のガタガタ反対咬合
| Before | After |
|---|---|
|
|
症例_015 上下顎の部分矯正
治療期間:9ヶ月金額:54万円+税男性前歯のガタガタ出っ歯
| Before | After |
|---|---|
|
|
症例_014 上下顎の部分矯正
治療期間:9ヶ月金額:54万円+税女性前歯のガタガタ出っ歯
| Before | After |
|---|---|
|
|
症例_013 上下顎の部分矯正
治療期間:8ヶ月金額:54万円+税女性前歯のガタガタ出っ歯
| Before | After |
|---|---|
|
|
症例_012 上下顎の部分矯正
治療期間:7ヶ月金額:48万円+税女性上下のすきっ歯
| Before | After |
|---|---|
|
|
症例_011 上下顎の部分矯正
治療期間:7ヶ月金額:54万円+税女性出っ歯前歯のガタガタ
| Before | After |
|---|---|
|
|
症例_010 上下顎の部分矯正
治療期間:9ヶ月金額:54万円+税女性出っ歯前歯のガタガタ
| Before | After |
|---|---|
|
|
症例_009 上下顎の部分矯正
治療期間:12ヶ月金額:54万円+税女性出っ歯前歯のガタガタ
| Before | After |
|---|---|
|
|
症例_008 上下顎の部分矯正
治療期間:11ヶ月金額:45万円+税女性前歯のガタガタ八重歯
| Before | After |
|---|---|
|
|
症例_007 上下顎の部分矯正
治療期間:10ヶ月金額:51万円+税女性前歯のガタガタ逆八の字
| Before | After |
|---|---|
|
|
症例_006 上下顎の部分矯正
治療期間:9ヶ月金額:54万円+税女性前歯のガタガタ逆八の字
| Before | After |
|---|---|
|
|
症例_005 上下顎の部分矯正
治療期間:18ヶ月金額:66万円+税女性前歯のガタガタ出っ歯開口
| Before | After |
|---|---|
|
|
症例_004 上下顎の部分矯正
治療期間:9ヶ月金額:54万円+税女性前歯のガタガタ八重歯
| Before | After |
|---|---|
|
|
症例_003 上下顎の部分矯正
治療期間:8ヶ月金額:48万円+税女性逆八の字
| Before | After |
|---|---|
|
|
症例_002 上下顎の部分矯正
治療期間:13ヶ月金額:54万円+税女性出っ歯前歯のガタガタ
| Before | After |
|---|---|
|
|
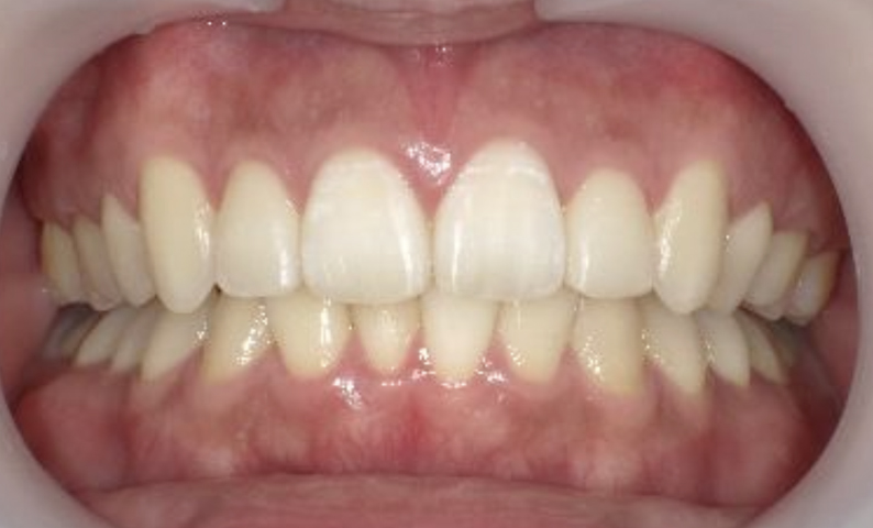
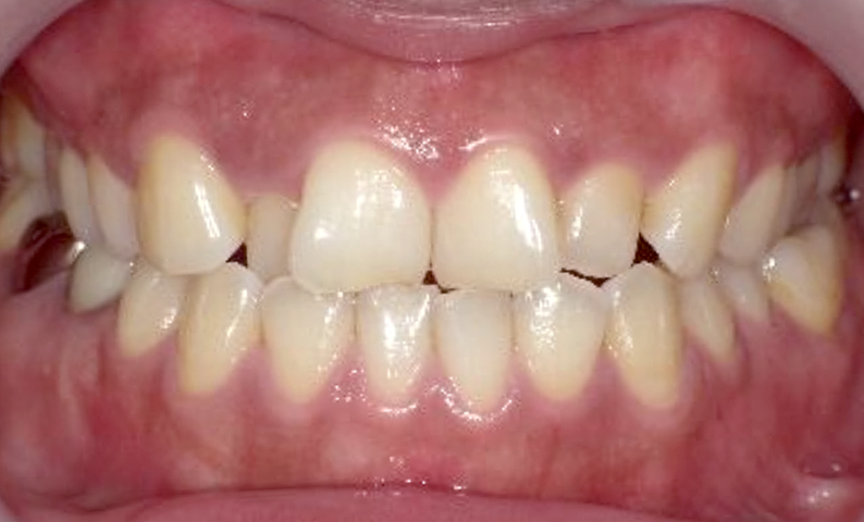
症例_001 上下顎の部分矯正
治療期間:10ヶ月金額:57万円+税女性八重歯前歯のガタガタ
| Before | After |
|---|---|
|
|
部分矯正について
「部分矯正」とは、前歯などの一部分の歯のみを対象にした矯正治療のことです。
全ての歯を矯正する必要がないため、「気になる前歯だけを改善したい」と考える患者さんにとって、理想的な治療法といえます。
| 治療期間 | 最短3ヶ月・通常6ヶ月程度 |
|---|---|
| 治療のリスク | 後戻りの可能性 |
料金表
たつや歯科のシンプルでわかりやすい料金表です。治療を開始する前に治療計画と一緒に明確にした治療費をお伝えいたします。
部分矯正は「最低6本の歯に矯正装置を付けて歯並びを治す歯科治療」になります。
...★:全て表側の部分矯正のみ該当します。(全顎矯正の場合は、装置調整料が発生します。)
| 初診料+ カウンセリング+ 口腔内検査 |
3,500〜4,000円 程度 |
|---|---|
| 前歯の部分矯正 (全て表側矯正) |
1本/30,000円+tax |
| 通院中の 装置調整料 ...★ |
0円 |
| 通院中の クリーニング ...★ |
0円 |
| ホワイトワイヤー ...★ |
0円 |
| 保定装置 ...★ |
0円 |
| 矯正治療後の 定期メインテナンス |
保険診療で対応 |
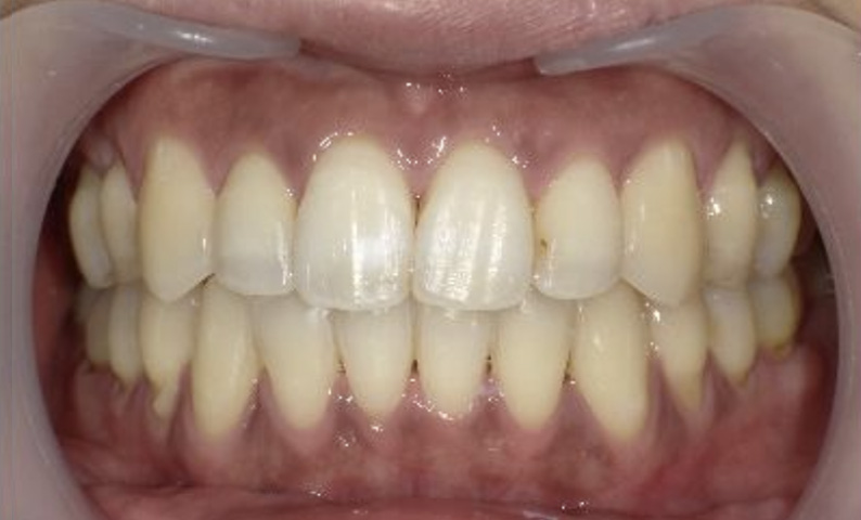
“大人に選ばれる”
前歯だけの短期部分矯正
最短3ヶ月でキレイな歯並びへ
いつまでも続く
美しい口元と
輝ける笑顔
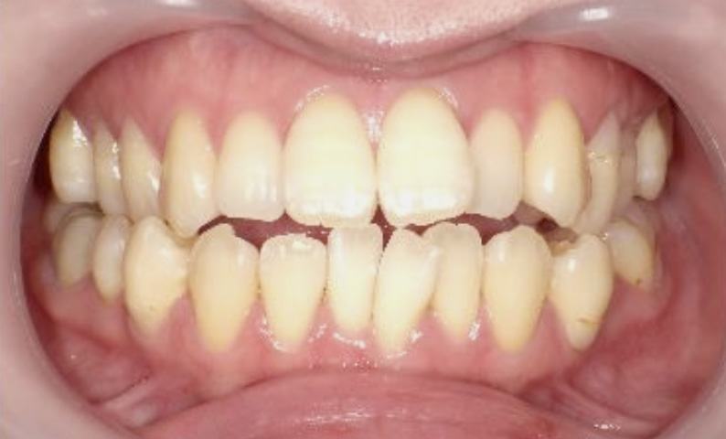
すきっ歯・出っ歯・八重歯
前歯のガタガタにお悩みの方へ
【たつや歯科】東京都豊島区|前歯だけの部分矯正専門クリニック。治療実績8,000件以上の部分矯正認定医が、すきっ歯・出っ歯・八重歯・ガタガタを最短3ヶ月で整えます。高度な技術で短期間に理想の歯並びを実現。痛みが少なく、通院回数も少ないので大人の方に選ばれています。
部分矯正を検討中の方は、実績豊富な当院にお任せください。
- 矯正装置1本3.5万円
- 通院毎の調整料0円
- 院内分割:手数料0円
- 目立たないワイヤー矯正
【2回目以降のご予約について】
当院では、2回目以降のご予約専用ダイヤルを
ご用意しております ▼
お電話が繋がらない場合はこちら ▼



