
前歯の隙間「すきっ歯」
部分矯正の症例集
※本ページに掲載している治療費は、
各症例の治療当時の料金を記載しております。
気になる前歯を数ヶ月で美しく
1本3.5万円で始められる
「たつや歯科の部分矯正」
- 前歯の歯並びだけが気になる
- 気になる前歯だけ矯正治療したい
そんなお悩みに応えるのが、
東京都豊島区「たつや歯科」です。
| 料金 | 矯正装置1本あたり3.5万円+税 (調整料/保定装置料込) |
|---|
※部分矯正は“最低6本の歯”に矯正装置を付けます。
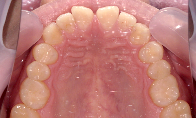
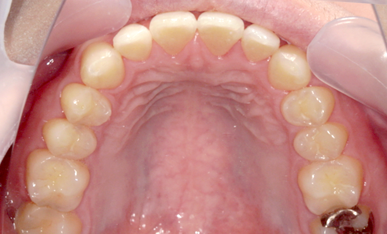
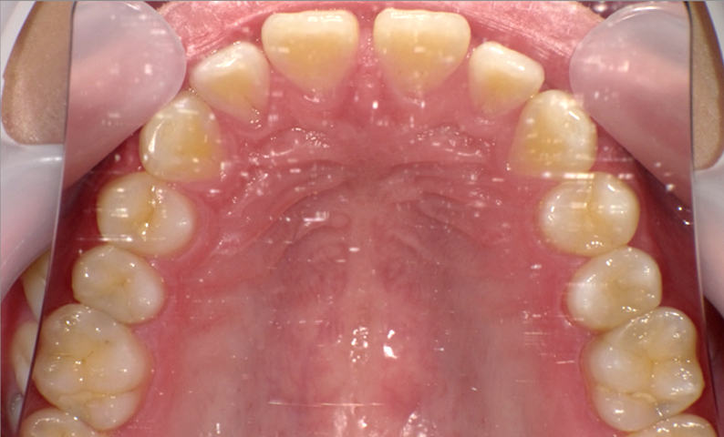
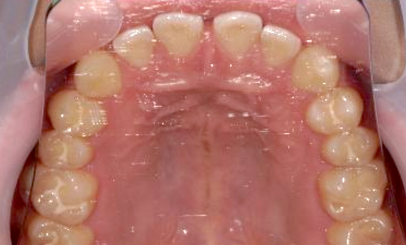
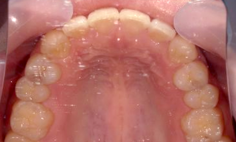
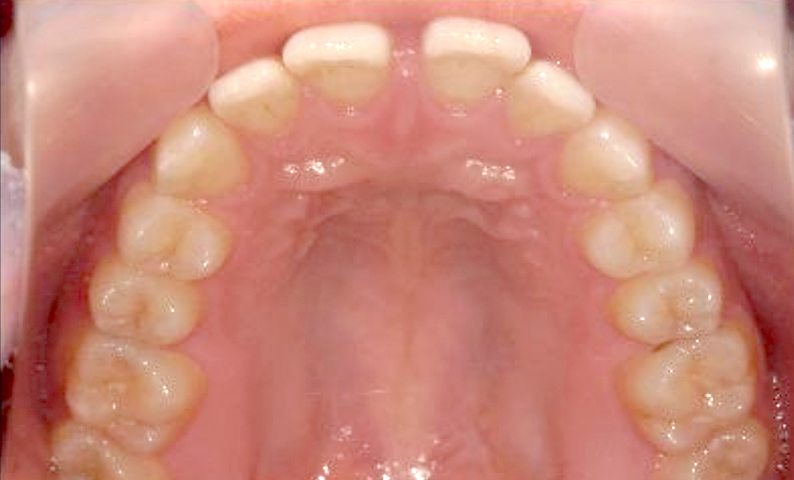
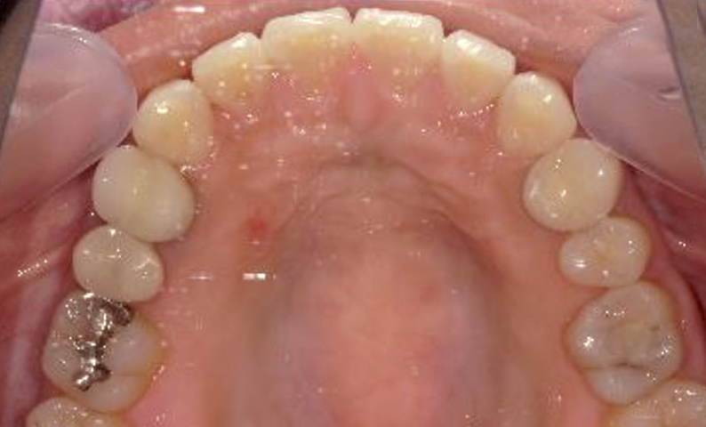
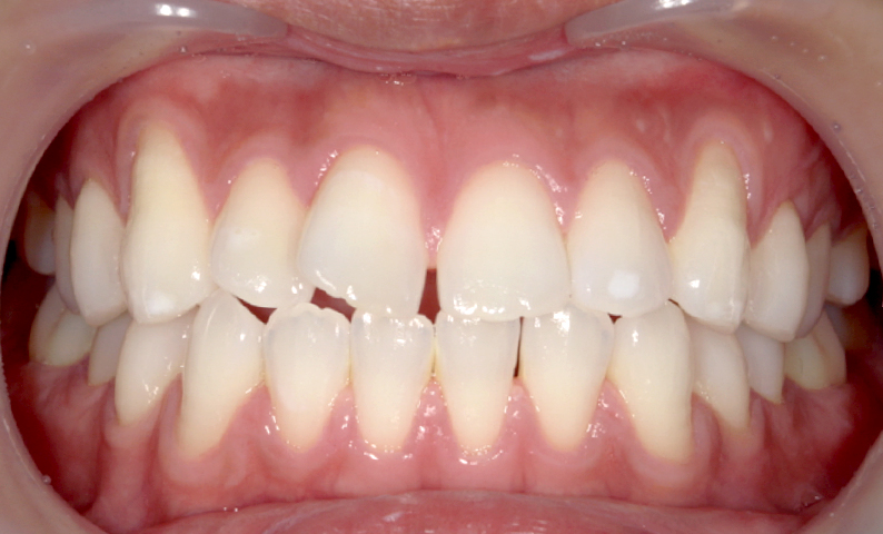
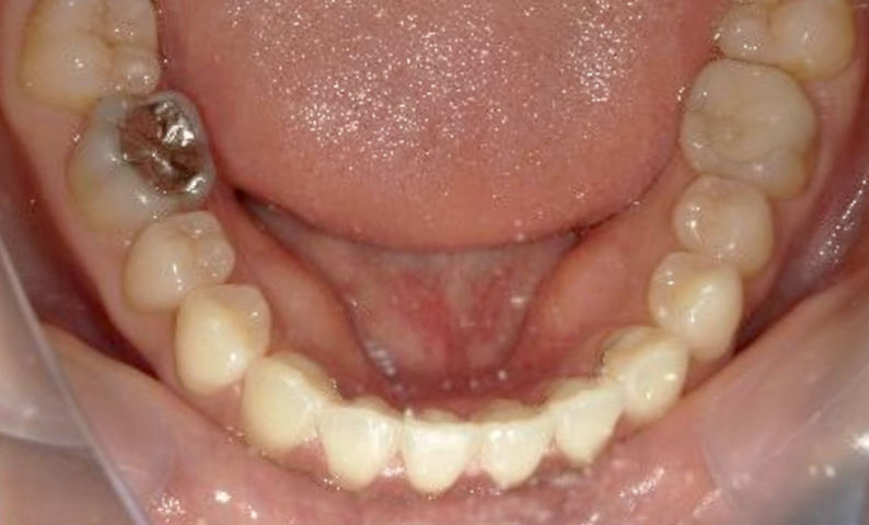
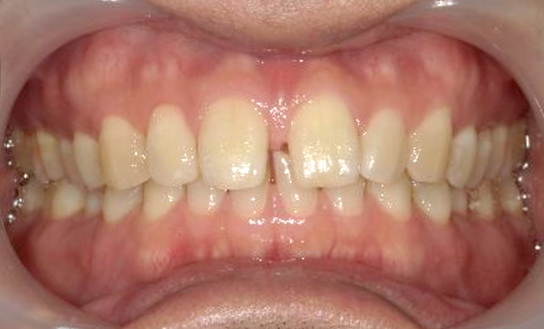
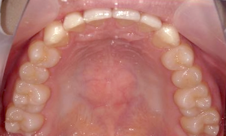
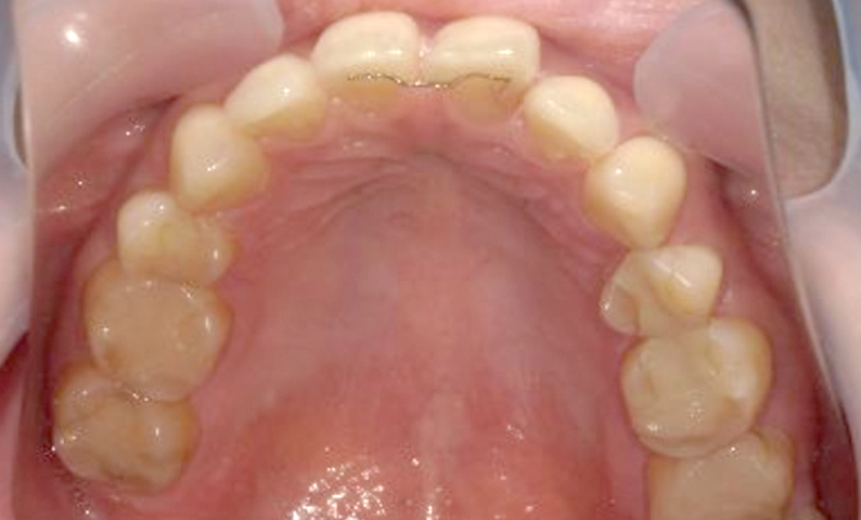
症例:上顎だけの部分矯正
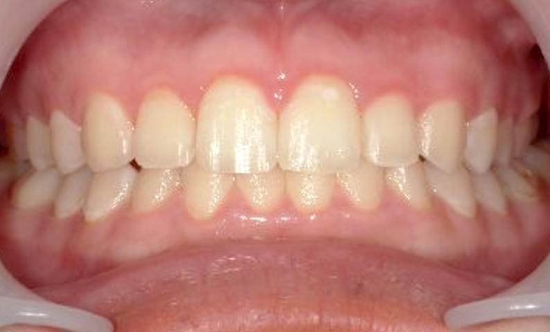
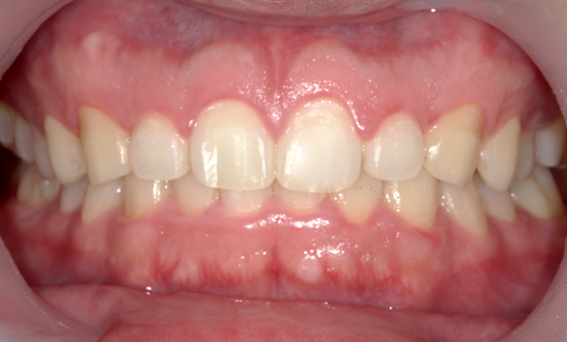
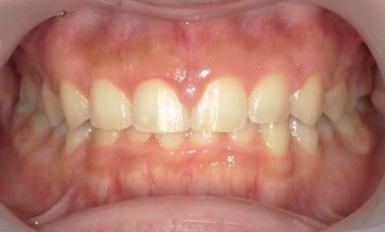
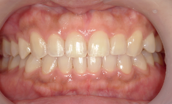
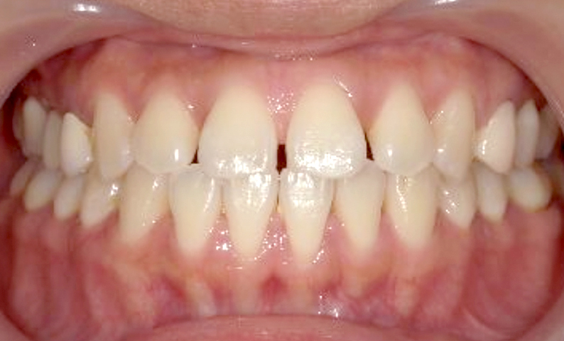
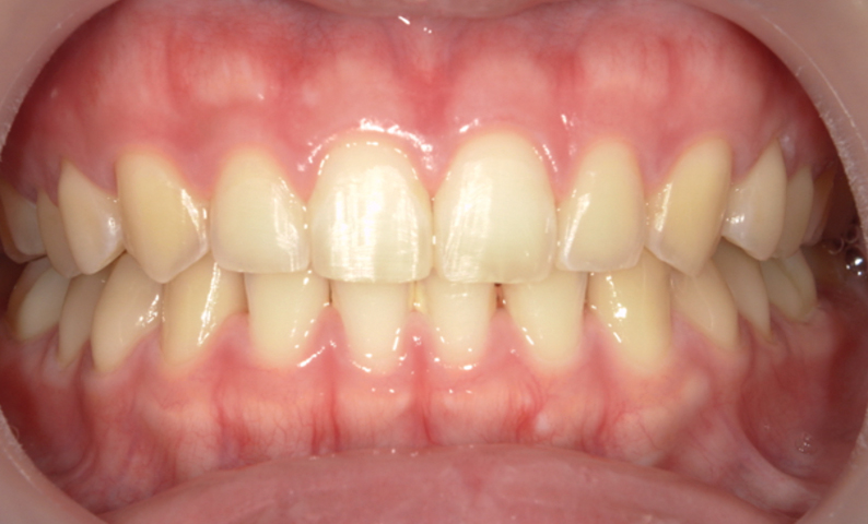
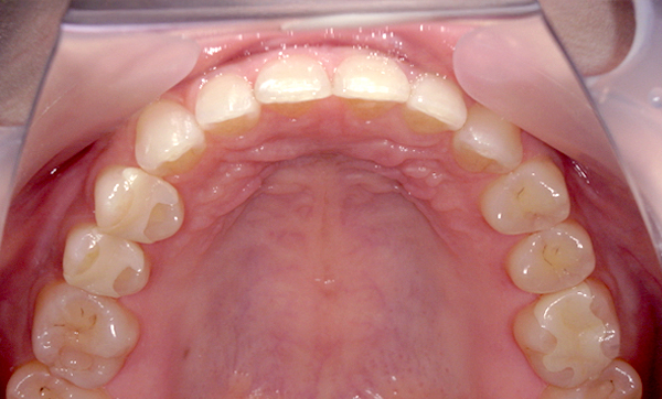
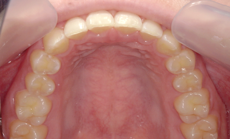
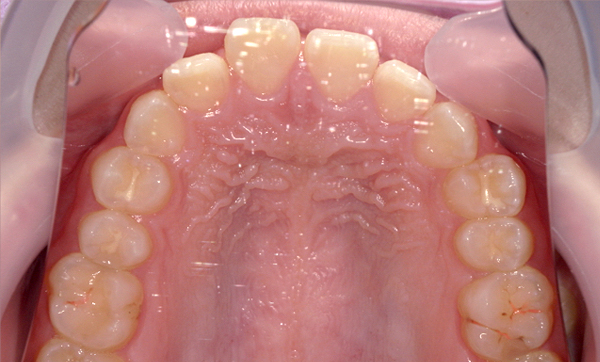
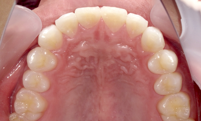
症例_021 前歯「すきっ歯」症例
治療期間:7ヶ月金額:24万円+税10代女性すきっ歯上の前歯だけ歯の形態修正
| Before | After |
|---|---|
|
|
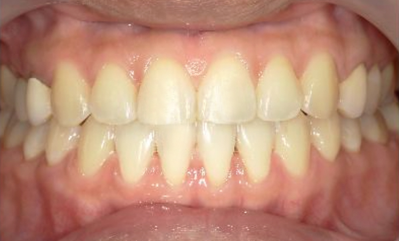
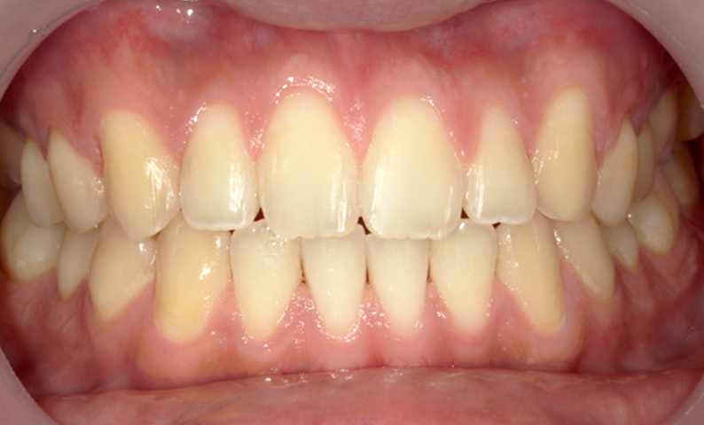
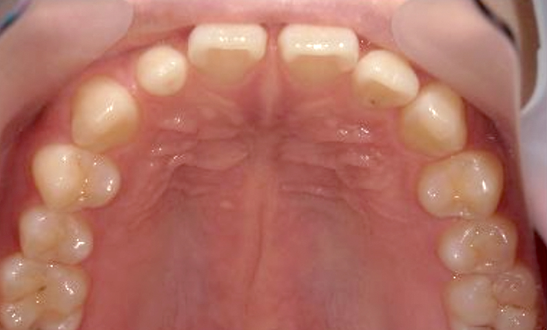
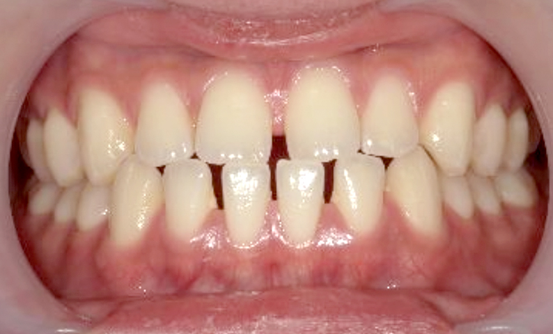
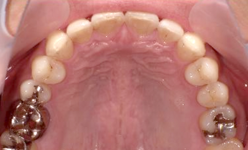
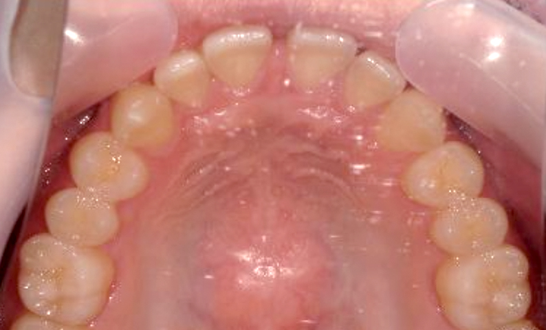
症例_020 前歯「すきっ歯」症例
治療期間:9ヶ月金額:30万円+税20代女性すきっ歯上の前歯だけ
| Before | After |
|---|---|
|
|
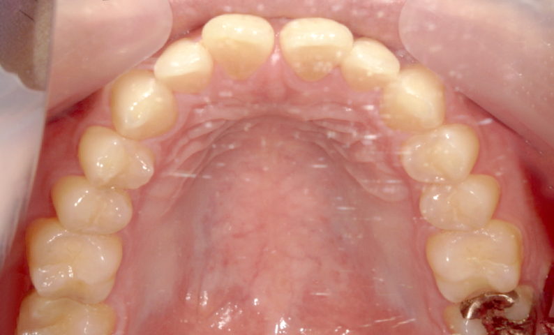
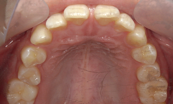
症例_019 前歯「すきっ歯」症例
治療期間:7ヶ月金額:24万円+税20代女性すきっ歯上の前歯だけ歯の形態修正
| Before | After |
|---|---|
|
|
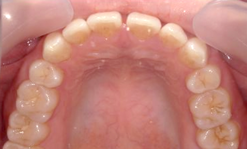
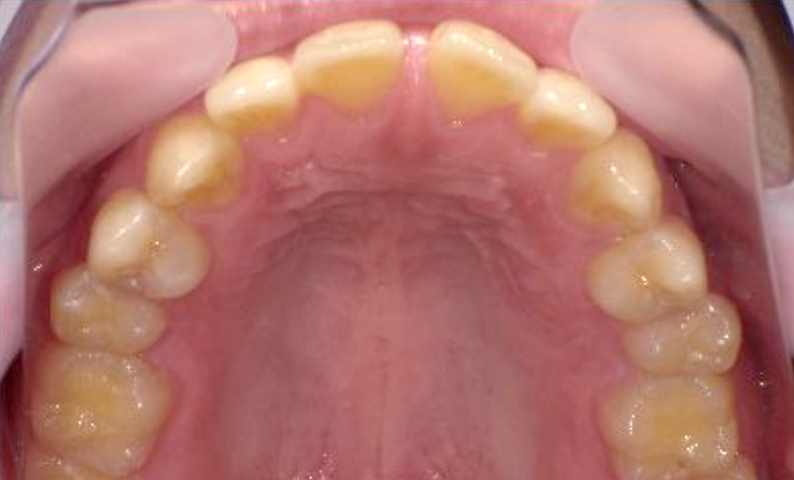
症例_018 前歯「すきっ歯」症例
治療期間:8ヶ月金額:24万円+税20代男性すきっ歯出っ歯上の前歯だけ歯の形態修正
| Before | After |
|---|---|
|
|
症例_017 前歯「すきっ歯」症例
治療期間:9ヶ月金額:24万円+税20代男性すきっ歯出っ歯上の前歯だけ
| Before | After |
|---|---|
|
|
症例_016 前歯「すきっ歯」症例
治療期間:7ヶ月金額:24万円+税20代男性すきっ歯捻転歯上の前歯だけ
| Before | After |
|---|---|
|
|
症例_015 前歯「すきっ歯」症例
治療期間:8ヶ月金額:24万円+税30代男性すきっ歯上の前歯だけ
| Before | After |
|---|---|
|
|
症例_014 前歯「すきっ歯」症例
治療期間:7ヶ月金額:27万円+税20代女性すきっ歯上の前歯だけ
| Before | After |
|---|---|
|
|
症例_013 前歯「すきっ歯」症例
治療期間:10ヶ月金額:27万円+税30代女性すきっ歯捻転歯上の前歯だけ
| Before | After |
|---|---|
|
|
症例_012 前歯「すきっ歯」症例
治療期間:6ヶ月金額:24万円+税30代男性すきっ歯上の前歯だけ
| Before | After |
|---|---|
|
|
症例_011 前歯「すきっ歯」症例
治療期間:6ヶ月金額:24万円+税20代女性すきっ歯上の前歯だけ
| Before | After |
|---|---|
|
|
症例_010 前歯「すきっ歯」症例
治療期間:8ヶ月金額:30万円+税20代女性すきっ歯出っ歯上の前歯だけ
| Before | After |
|---|---|
|
|
症例_009 前歯「すきっ歯」症例
治療期間:8ヶ月金額:24万円+税30代男性すきっ歯上の前歯だけ
| Before | After |
|---|---|
|
|
症例_008 前歯「すきっ歯」症例
治療期間:8ヶ月金額:24万円+税10代男性すきっ歯上の前歯だけ
| Before | After |
|---|---|
|
|
症例_007 前歯「すきっ歯」症例
治療期間:8ヶ月金額:24万円+税50代女性すきっ歯上の前歯だけ再矯正
| Before | After |
|---|---|
|
|
症例_006 前歯「すきっ歯」症例
治療期間:7ヶ月金額:24万円+税50代女性すきっ歯上の前歯だけ
| Before | After |
|---|---|
|
|
症例_005 前歯「すきっ歯」症例
治療期間:6ヶ月金額:24万円+税40代男性すきっ歯上の前歯だけ
| Before | After |
|---|---|
|
|
症例_004 前歯「すきっ歯」症例
治療期間:7ヶ月金額:24万円+税20代男性すきっ歯上の前歯だけ
| Before | After |
|---|---|
|
|
症例_003 前歯「すきっ歯」症例
治療期間:6ヶ月金額:24万円+税20代女性すきっ歯上の前歯だけ
| Before | After |
|---|---|
|
|
症例_002 前歯「すきっ歯」症例
治療期間:6ヶ月金額:24万円+税20代女性すきっ歯上の前歯だけ
| Before | After |
|---|---|
|
|
症例_001 前歯「すきっ歯」症例
治療期間:6ヶ月金額:24万円+税20代男性すきっ歯上の前歯だけ
| Before | After |
|---|---|
|
|
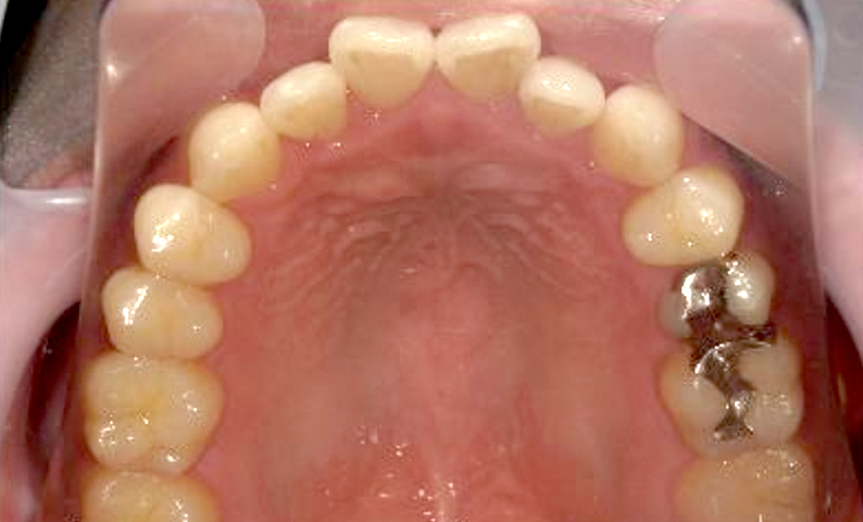
症例:上下顎の部分矯正
症例_006 前歯「すきっ歯」症例
治療期間:8ヶ月金額:48万円+税40代女性すきっ歯出っ歯形態修正
| Before | After |
|---|---|
|
|
症例_005 前歯「すきっ歯」症例
治療期間:9ヶ月金額:48万円+税20代男性すきっ歯出っ歯
| Before | After |
|---|---|
|
|
症例_004 前歯「すきっ歯」症例
治療期間:9ヶ月金額:48万円+税30代男性すきっ歯出っ歯
| Before | After |
|---|---|
|
|
症例_003 前歯「すきっ歯」症例
治療期間:8ヶ月金額:48万円+税30代女性すきっ歯
| Before | After |
|---|---|
|
|
症例_002 前歯「すきっ歯」症例
治療期間:8ヶ月金額:48万円+税20代女性すきっ歯
| Before | After |
|---|---|
|
|
症例_001 前歯「すきっ歯」症例
治療期間:9ヶ月金額:51万円+税20代女性すきっ歯
| Before | After |
|---|---|
|
|
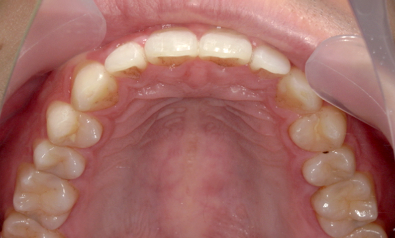
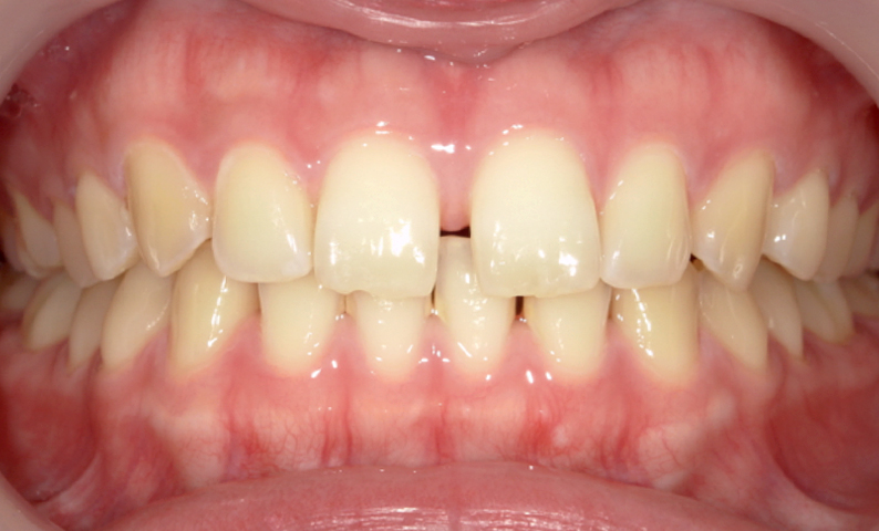
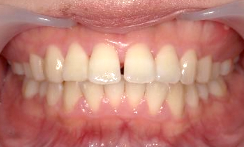
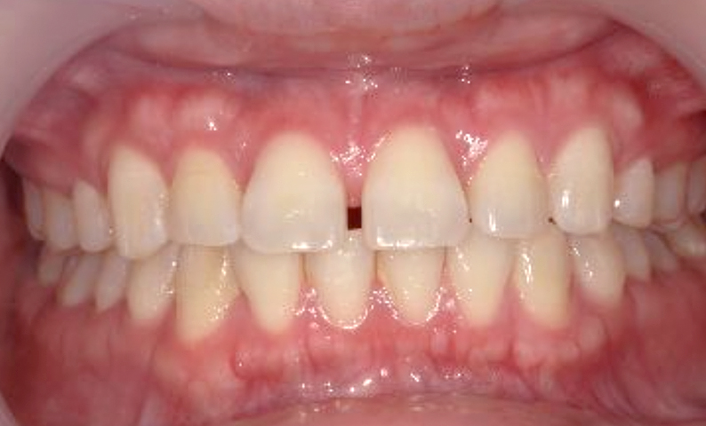
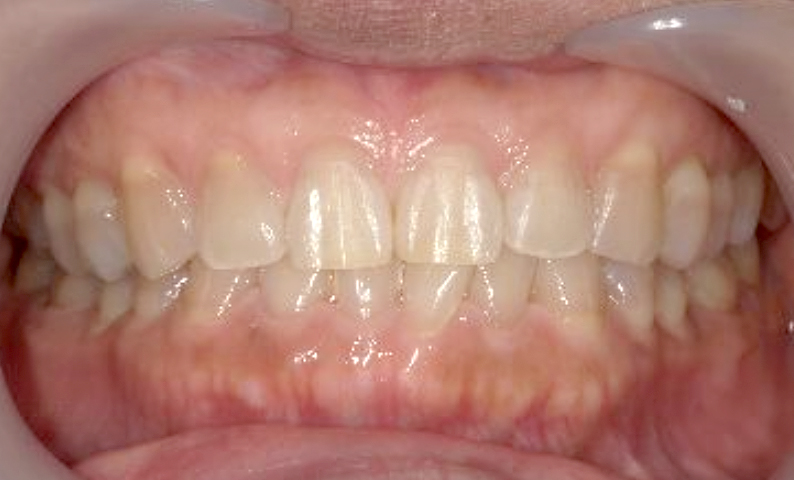
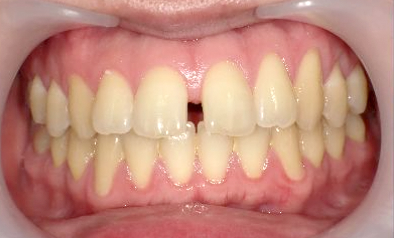
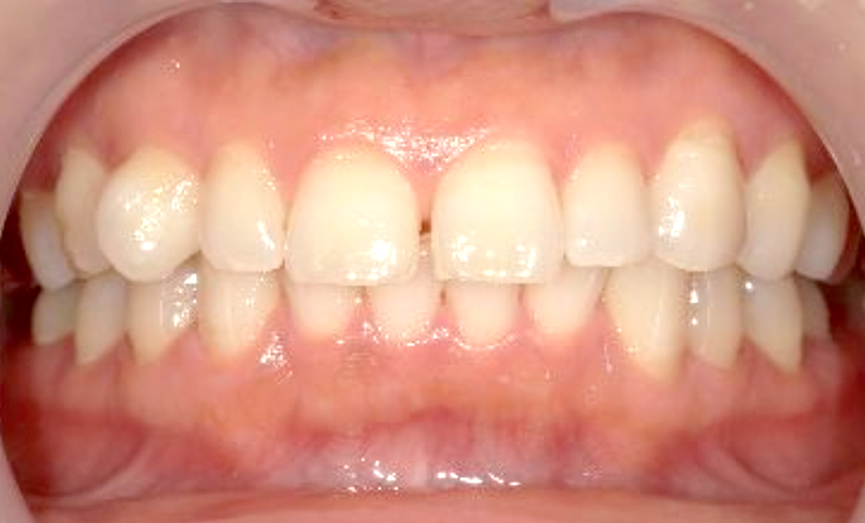
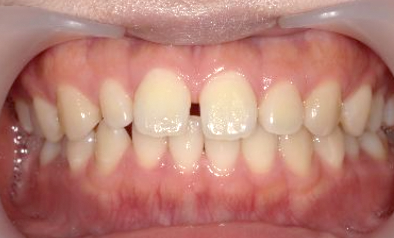
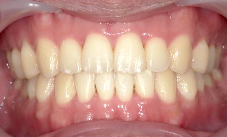
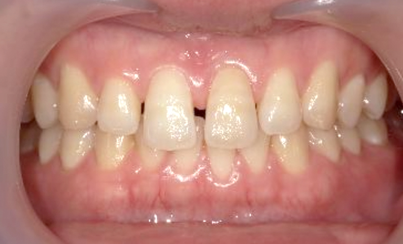
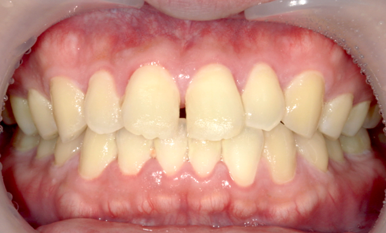
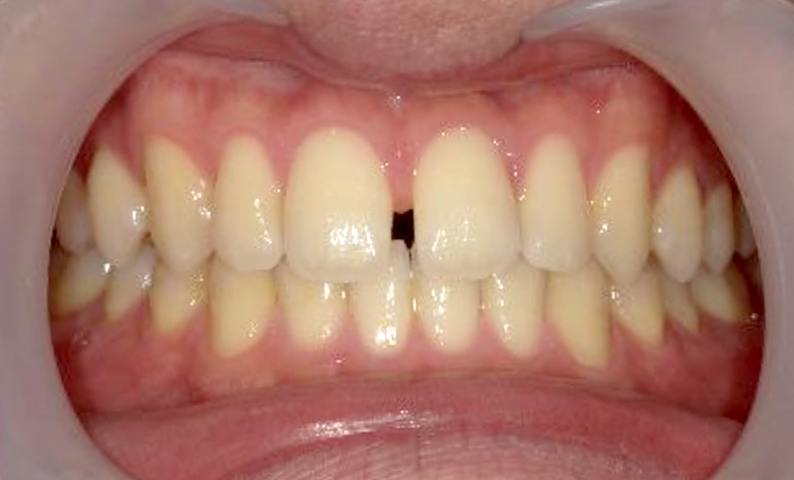
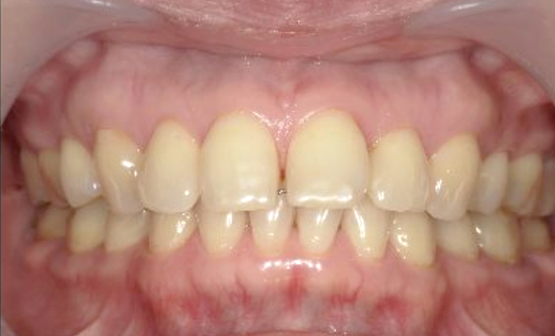
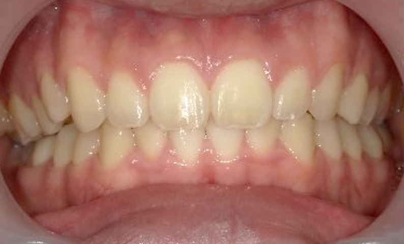
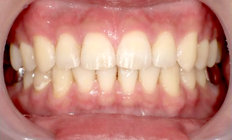
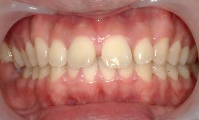
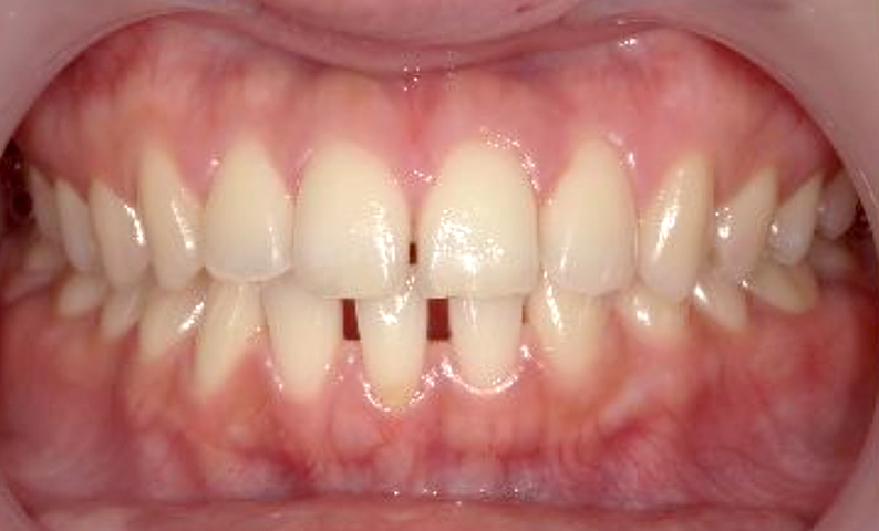
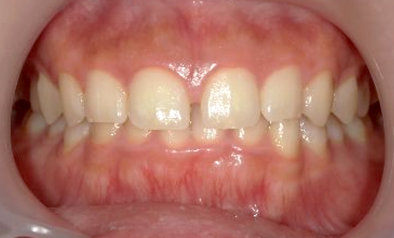
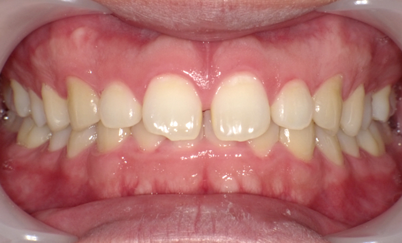
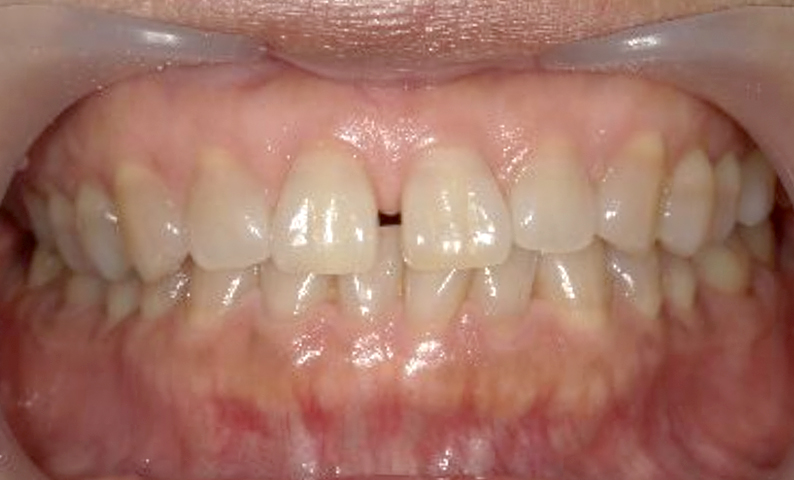
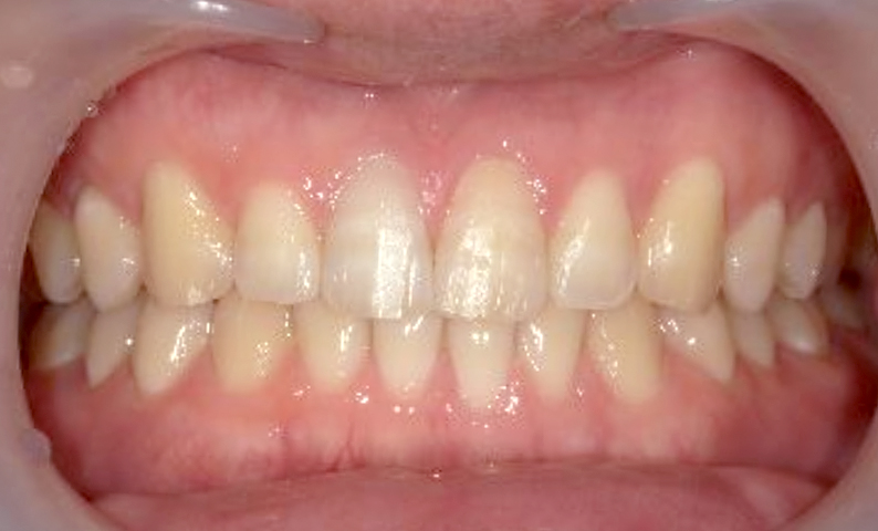
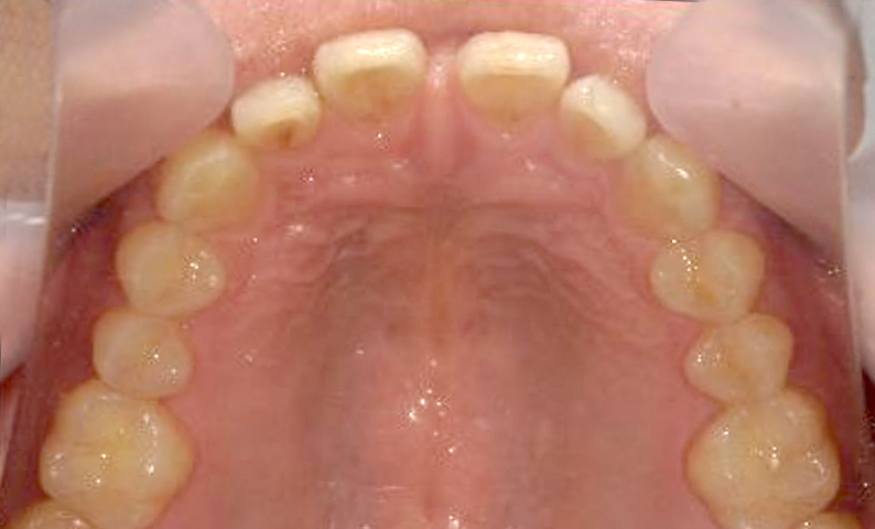
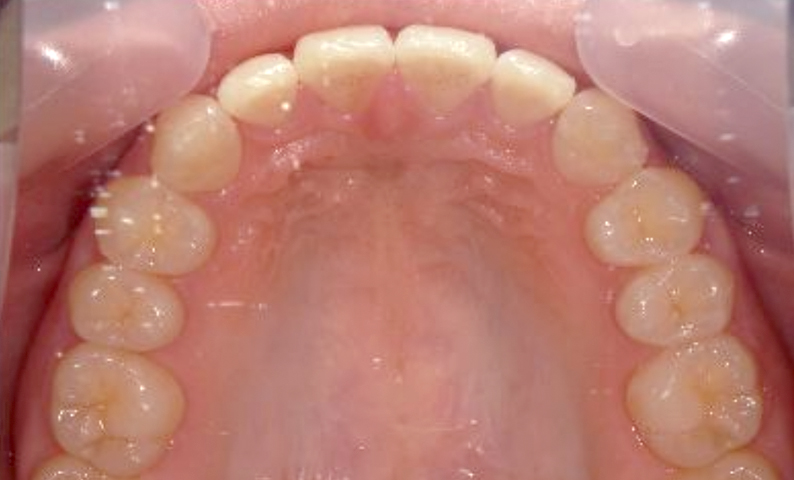
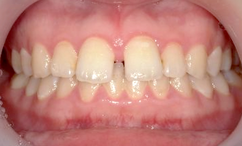
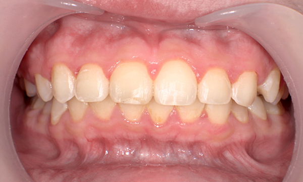
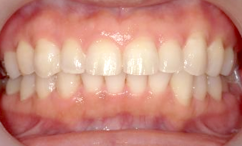
前歯の隙間「すきっ歯」と矯正治療
前歯の歯列において、隙間が生じることを一般的に「すきっ歯」といいます。
「すきっ歯(すきっぱ)」は、主に前歯に見られ、目立ちやすく、多くの人がこれを気にしています。
そのため、人前で大きな口を開けて笑うことが抵抗感を生む場合もあります。
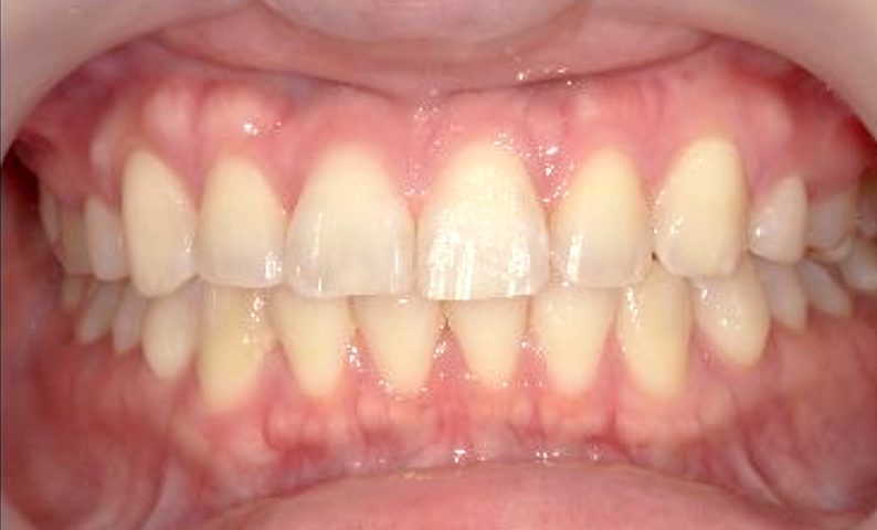
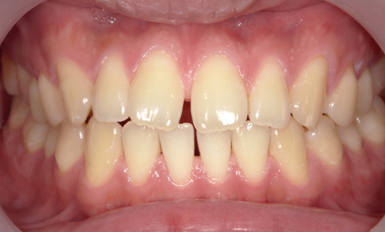
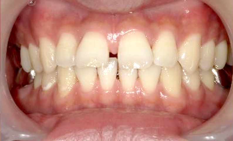
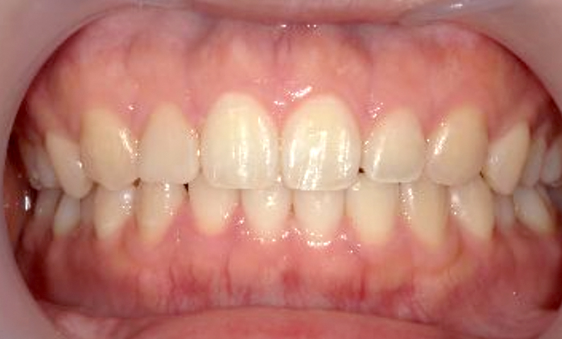
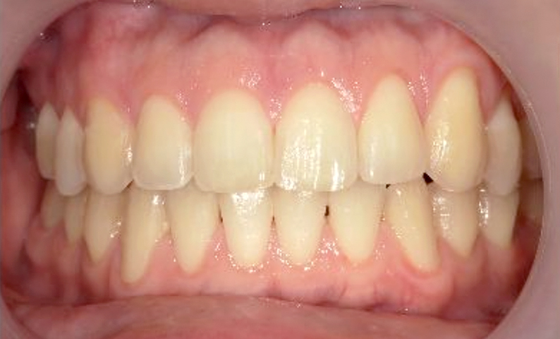
| 治療前 | 治療後 |
|---|---|
|
|
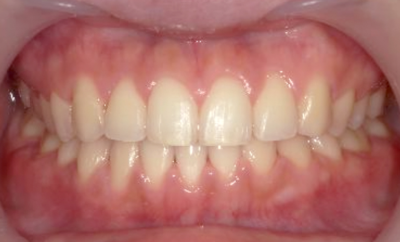
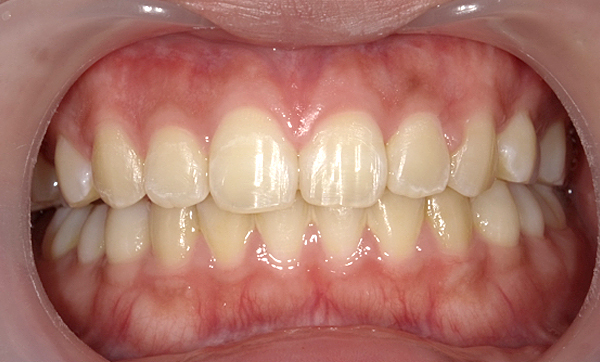
| 治療前 | 治療後 |
|---|---|
|
|
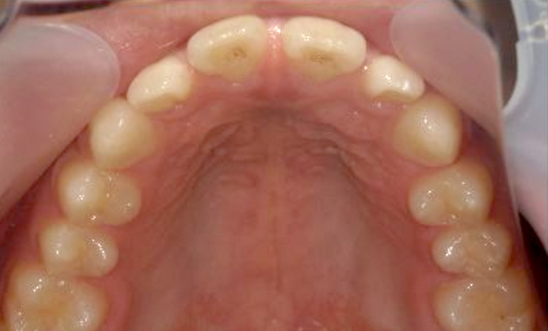
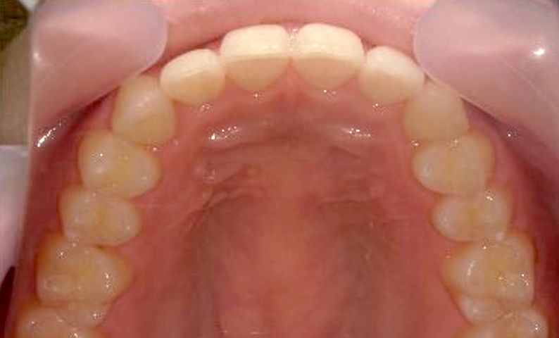
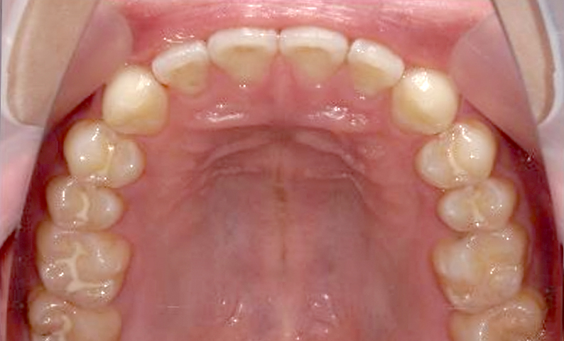
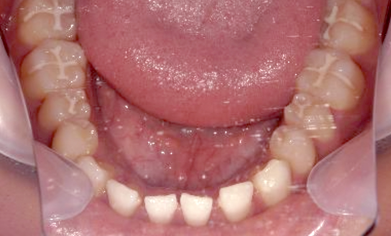
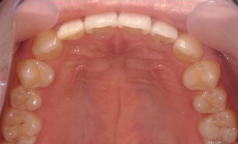
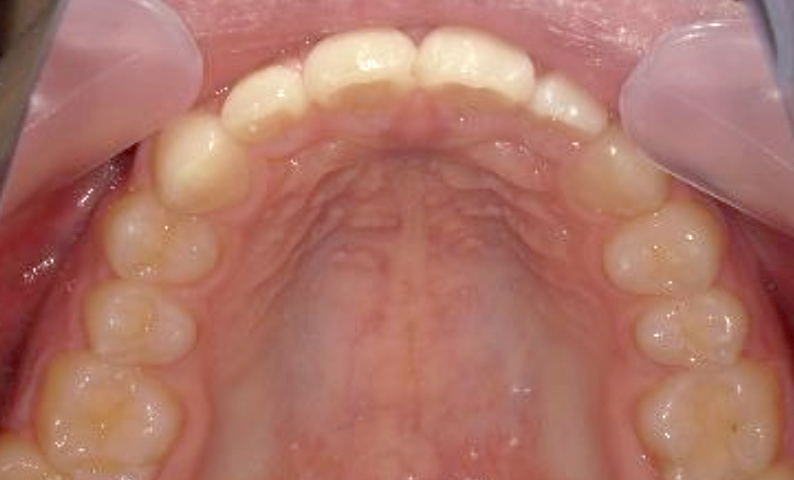
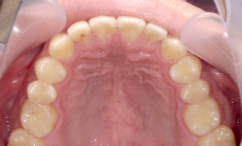
すきっ歯の種類
- 正中離開(せいちゅうりかい)
:前歯だけに隙間がある状態 - 空隙歯列(くうげきしれつ)
:全体的に歯に隙間がある状態
大人になって「すきっ歯」になった?
大人になってから「すきっ歯」になることがあります。
加齢や歯周病などにより、歯茎が下がったり、どこかの歯を失ったままにしておくと、スペースが余って「すきっ歯」になります。
永久歯のすきっ歯は、いくつかの問題を引き起こすことがあるため、できるだけ早く当院にご相談いただくことをおすすめします。
すきっ歯を自力で治す方法
結論からお伝えすると、すきっ歯を自力で治す方法はありません!
また、自力で歯並びに力を加えて矯正を行うのは非常に危険のため絶対にやめましょう。
「すきっ歯」を部分矯正で治す!
歯は第一印象にとても重要なパーツです。
そして口元の前歯は特に目立つため、
すきっ歯を治すことで笑顔がより美しくなります。
「部分矯正」とは、歯列矯正の一種で、限られた数の歯や歯列に対してのみ矯正を行う治療法です。気になる前歯だけなど、歯並びに問題がある箇所や、歯並びが口腔内の健康に影響を与えている箇所のみに矯正装置を取り付けます。
部分矯正は症状に応じて治療を行うため、全顎矯正が不要の場合に適しており、治療期間は短く、治療費用も全顎矯正と比べると安く抑えられるため、患者さんの気持ちに寄り添った人気の治療法となっています。
すきっ歯の治療方法
矯正治療
or
セラミック治療
| 歯列矯正 | 矯正装置(ブラケット)とワイヤーを歯に装着し乱れた歯並び・噛み合わせを整えます。 矯正治療後は保定装置を正しく使用することで歯並びを永久的にキープすることができます。 |
|---|---|
| ダイレクト ボンディング |
歯の隙間にハイブリッドセラミックを直接盛り付けることで、すきっ歯を改善します。隙間の分、歯の横幅が大きくなってしまいます。 年数が経つと変色することがあり、歯と同程度に詰め物が欠けたり割れたりする可能性があります。 |
| 補綴治療 (セラミック矯正) |
歯を削った部分に被せ物をして歯並びを揃えます。歯を削ることは、歯の寿命を短くすることに繋がるため、天然歯に問題がない場合はおすすめしない治療方法です。 歯を削る補綴治療のセラミックの被せ物の寿命は一般的に10年程度となります。 |
すきっ歯を治す最も一般的な方法は、
矯正治療です。
天然の歯を削らずに、すきっ歯を
治せることが最大のメリットです。
たつや歯科の部分矯正
「すきっ歯」を治す治療期間
簡単なケースでは3ヶ月程度で、
平均6ヶ月程度で
キレイな歯並びになります。
すきっ歯の歯並びからキレイに整った歯並びをキープするためにも、矯正治療後はリテーナー(保定装置)を正しく使用しましょう!後戻り防止として、ならべく長い期間使用して頂くことをオススメしております。
部分矯正のたつや歯科では、
患者さん一人ひとりに合わせた治療プランをご提案いたします。
すきっ歯のお悩みは、実績豊富な当院までお気軽にご相談ください!
当院の精密検査は健康保険3割適用で3,500〜4,000円程度ですので、ぜひご検討ください。
症例一覧
症例_018
治療リスク:後戻りの可能性
症例_017
治療リスク:後戻りの可能性
症例_016
治療リスク:後戻りの可能性
症例_015
治療リスク:後戻りの可能性
症例_014
治療リスク:後戻りの可能性
症例_013
治療リスク:後戻りの可能性
症例_012
治療リスク:後戻りの可能性
症例_011
治療リスク:後戻りの可能性
症例_010
治療リスク:後戻りの可能性
症例_009
治療リスク:後戻りの可能性
症例_008
治療リスク:後戻りの可能性
症例_007
治療リスク:後戻りの可能性
症例_006
治療リスク:後戻りの可能性
症例_005
治療リスク:後戻りの可能性
症例_004
治療リスク:後戻りの可能性
症例_003
治療リスク:後戻りの可能性
症例_002
治療リスク:後戻りの可能性
症例_001
治療リスク:後戻りの可能性
“大人に選ばれる”
前歯だけの短期部分矯正
最短3ヶ月でキレイな歯並びへ
いつまでも続く
美しい口元と
輝ける笑顔
すきっ歯・出っ歯・八重歯
前歯のガタガタにお悩みの方へ
【たつや歯科】東京都豊島区|前歯だけの部分矯正専門クリニック。治療実績8,000件以上の部分矯正認定医が、すきっ歯・出っ歯・八重歯・ガタガタを最短3ヶ月で整えます。高度な技術で短期間に理想の歯並びを実現。痛みが少なく、通院回数も少ないので大人の方に選ばれています。
部分矯正を検討中の方は、実績豊富な当院にお任せください。
- 矯正装置1本3.5万円
- 通院毎の調整料0円
- 院内分割:手数料0円
- 目立たないワイヤー矯正
【2回目以降のご予約について】
当院では、2回目以降のご予約専用ダイヤルを
ご用意しております ▼
お電話が繋がらない場合はこちら ▼



