
部分矯正は10万円で
治療可能?
安い理由と注意点
- 目次
10万円で部分矯正はできるの?
「部分矯正が10万円!」
という広告を見かけて、
「こんなに安く矯正できるの?」と気になった方も多いのではないでしょうか。
しかし、金額だけで判断すると
「思ったより高くついた」
「満足できない仕上がりだった」
と後悔するケースが増えています。
ここでは、部分矯正10万円の「本当の理由」と、安さの裏にある注意点をわかりやすく解説します。
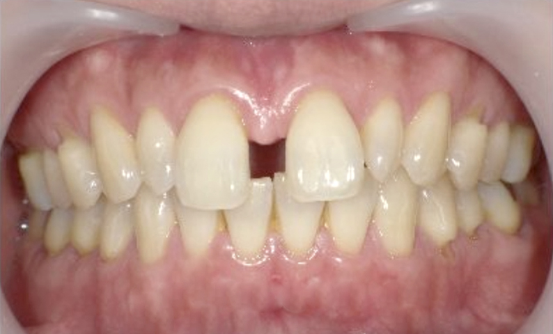
本当に10万円で矯正できるケースは「超軽度」の場合だけ
「10万円」という低価格が適用されるのは、
ほんのわずかに歯がズレているだけの「超軽度な症例」に限られます。
結論からお伝えすると非常に安価な矯正治療は利用条件が厳しかったり、
説明と実際に異なることが多いため、慎重に検討が必要です。
一部の歯科医院では「10万円で部分矯正が可能!」と宣伝しているところもありますが、実際にはこの金額で治療できる症例は限られています。部分矯正は全体矯正に比べて費用が安い特徴がありますが、10万円の部分矯正などの極端に安い場合はリスクがある可能性があります。
「費用10万円〜」「月々たったの0,000円〜」といった上限金額が書かれていない場合は、クリニックで費用の詳細を確認することが重要です。自分が納得でき、安心して通院できる歯科医院を選ぶことが大切です。
超軽度の歯並びの一例
- 前歯1本の傾きだけを整える場合
- ほんの一部の隙間を閉じたい場合
「10万円」の広告に潜む落とし穴
本当に10万円で治療した
症例写真がHPに掲載されているか?
「部分矯正が10万円!」と大きく広告している歯科医院でも、
実際にその金額で治療した患者さんのビフォーアフター写真がほとんど掲載されていない場合があります。
もし症例写真が十分に紹介されていなかったり、具体的な治療内容の説明がない場合は注意が必要です。
つまり
「10万円」という金額は、
あくまで来院を促すための
広告の一部として打ち出されている場合もあるのです。
気になる場合は、カウンセリング時に「この料金で本当に自分の歯並びに適応されるのか」「具体的な過去症例はあるか」など、しっかり確認することをおすすめします。
実は「10万円」だけでは済まない!
仮に10万円プランが適用されたとしても、
実際にはその費用だけで矯正治療が完結するケースはほとんどありません。
多くの歯科医院では、次のような追加費用が別途必要になることが一般的です。
装置料金の他にかかる一般的な費用
- 精密検査費
(30,000円〜50,000円) - 虫歯/歯周病治療、抜歯の一般歯科治療費(2,000円~30,000円)
- 通院費(3,000円~5,000円/通院する回数分)
- リテーナーの装置費(30,000円~60,000円)
- 保定観察費(3,000円~4,000円/通院する回数分)
片側の部分矯正
超軽度の症例で装置料金
「10万円」の治療費例
| 矯正前 にかかる費用 |
|
|---|---|
| 矯正中 にかかる費用 |
|
| 矯正完了後 にかかる費用 |
|
| 合計金額 | 240,000円+税 |
つまり
「10万円」という価格も、
最終的には20万円〜30万円
近くになるケースも
珍しくありません。
治療スタート後に「思ったより費用がかさんだ…」とならないためにも、カウンセリング時に必ず「総額でいくらになるのか」「何が含まれているのか」を細かく確認しておきましょう。
また、調整料やリテーナー費用が“込み”のプランを用意している医院もありますので、そのような料金設定の医院を選ぶのも安心につながります。
魅力的な安い価格帯
「10万円の部分矯正」
歯列矯正で10万円は魅力的な価格のため、多くの人が治療を検討するきっかけになるかと思います。しかし、安い治療費に惑わされず、「10万円かけても効果がなかった」「逆に歯が悪くなった」といった後悔を避けるためには、正しい知識を身につけることが大切です。
歯科医院の「10万円でできる」という宣伝には注意が必要で、実際には装置料金以外にも追加の費用がかかることがあります。そのため、トータル費用が10万円で完了するケースはまれであると考えるべきです。
10万円で治療可能な歯並びとは?
歯の数に関しては、前歯2本の軽い歯並びの症例など、極めて軽度な場合であれば、部分矯正が約10万円で可能な場合があります。(ただし、この10万円は装置費用であり、処置料やリテーナー料などは含まれていません)
したがって、歯科医院が「10万円でできる」と宣伝しても、実際に10万円で部分矯正ができるケースは稀だと考えてもよいでしょう。
「10万円で出来る部分矯正」
の注意点について
部分矯正が手頃な価格で受けられるのは非常に魅力的なことですが、10万円で受ける部分矯正は慎重になる必要があります。
治療をスタートしてから後悔しないように、予め押さえておくべきポイントを理解しておきましょう。
①
矯正費用10万円の内訳を
確認しましょう
歯科医院の料金設定は事前に確認しておくことが大切です。 矯正の料金は歯科医院ごとに異なり、治療回数ごとに発生する場合もあれば、最初に全体の費用が提示される場合もあります。
「最初は10万円で済むと思っていたのに、最終的に高額になってしまった」といったトラブルを避けるためにも、実際には本当に10万円以上の費用がかかる可能性はないのか確認しましょう。
10万円という金額は患者さんにとって魅力的ですので、多くの方が治療を検討するでしょう。ただし、治療を始めると毎回何千円かの調整費用がかかると、「結局10万円以上かかることになるのではないか」という不安を避けるためにも、事前に確認が必要です。
②
10万円でできる部分矯正には
限りがあります
10万円で行う部分矯正は、歯を動かす本数が比較的少ないため、完璧な歯並びを実現するのが難しいことが一般的です。従って、「理想の歯並びにしたい」と考える方には適していないことがあります。むしろ、「綺麗に整えたい」と思う方は、「10万円〜」などの予算ではなく、部分矯正の実績が豊富なクリニックで治療を受けるか、あるいは全体矯正を検討することがおすすめです。
10万円の部分矯正が
難しいケース
- 軽度を含む出っ歯の状態
- 中度以上の前歯が乱れた状態
- 前歯が1,2本以上ガタガタしている状態
- 凸凹の歯並びや八重歯などの複雑な状態
③
モニター価格
=10万円の部分矯正
10万円の部分矯正は、いくつかの歯科医院でモニター価格として設定しているところもあります。
これは、特別価格で治療を受けるために、治療の写真やエピソードをネット上で公開する条件を満たすことが必要なプログラムです。通常よりもお得に部分矯正を受けるチャンスですが、担当医が一般歯科で経験が少ない場合、「お勉強価格」として安価なことがあるかもしれません。
矯正治療は歯科医師の経験、技術、知識が非常に重要です。
安さだけに引かれず、慎重に検討しましょう。
「歯医者を選ぶポイント」
後悔しないために、
ここを必ずチェック!
「こんなはずじゃなかった…」と後悔しないためには、
歯科医院選びの段階で次のポイントをしっかり確認しておくことが大切です。
①治療実績や症例写真が豊富か?
症例写真が多く掲載されている医院は、実績が豊富で治療経験がしっかりしている証です。特に自分の希望に近い症例(すきっ歯・ガタガタ・出っ歯など)が紹介されているかチェックしましょう。
②「10万円プラン」が
どのような症例に適用されるか明確か?
「誰でも10万円でできるわけではない」ことが正しく説明されているか。超軽度の症例限定なのか、適用範囲を必ず確認しましょう。
③トータルでかかる費用が
はっきり書かれているか?
検査料、調整料、保定装置費など、最終的な総額が分かりやすく提示されているかを確認しましょう。「10万円」と書かれていても、実際は20〜30万円ほどかかるケースもあります。
④矯正後のリテーナー(保定装置)
についてきちんと案内があるか?
矯正後は歯が元の位置に戻ろうとする「後戻り」が必ず起こります。これを防ぐリテーナー(保定装置)の案内や費用が明示されているかも重要なチェックポイントです。
⑤「地域最安値!」などの
派手なキャッチコピーに
惑わされていないか?
「最安値!」という言葉には条件や制限がついている場合がほとんどです。価格の理由や適用条件が細かく説明されているかを必ず確認しましょう。
大切な歯だからこそ、
価格だけで決めない選択を。
部分矯正は見た目の改善だけでなく、噛み合わせや将来の歯の健康にも影響を与える医療行為です。「とにかく安く済ませたい」という気持ちだけで選ぶと、思わぬトラブルや追加治療で結果的に高くつく場合もあります。
大切な歯を長く健康で美しく保つためには、費用だけでなく「治療の質」や「アフターケア」も含めて信頼できる歯科医院を選びましょう。疑問や不安があれば、カウンセリング時にしっかり質問することも後悔しないための大事なステップです。
部分矯正の
セカンドピニオンを活用!
10万円の部分矯正
費用だけで選ばすに
経験豊富で
治療実績のある
歯科医院を
選びましょう
たつや歯科では気になる前歯を治す
「部分矯正」の治療実績が豊富です。
「気になる前歯を短期間で安く治したい」
そう思っている患者さんが
たくさん来院しています。
- 費用をなるべく抑えたいけど、
少し不安… - とりあえず診断だけ受けたい
部分矯正のたつや歯科は、少しでも患者さんのご希望に寄り添えるように、丁寧に患者さん一人ひとりのお悩みに向き合います。当院の精密検査は健康保険3割適用で3,500〜4,000円程度ですので、もし交通にご不便がなければ、まずは検査だけでも受けてみてはいかがでしょうか。
| 矯正装置を付ける歯 6本の場合 (調整料/保定装置料込) |
21万円 +税 |
|---|---|
| 矯正装置を付ける歯 8本の場合 (調整料/保定装置料込) |
28万円 +税 |
| 矯正装置を付ける歯 10本の場合 (調整料/保定装置料込) |
35万円 +税 |
10万円の部分矯正を
検討している方へ
部分矯正が10万円で受けられるという情報がありますが、注意が必要です。
この低価格で提供される治療が全ての方に適しているわけではありません。
安心して治療を受けるためには、
部分矯正の経験と知識が豊富な歯科医院を選ぶことが重要です。
「10万円〜」の費用に焦点を当てるだけでなく、適切な治療期間や丁寧なフォローアップを提供してくれる歯科医院を選ぶことが重要です。部分矯正で患者さんの要望に応えるには、経験や専門知識、最新技術の取り入れなど、柔軟で高いスキルが欠かせません。
治療に際しては、リスクを避けつつ、メンテナンスやホワイトニング、歯磨き指導などの予防歯科のための通院も希望される方は、経験豊富で実績のある医院、カウンセリング時に安心感を感じる医院などを検討してみてください。



