
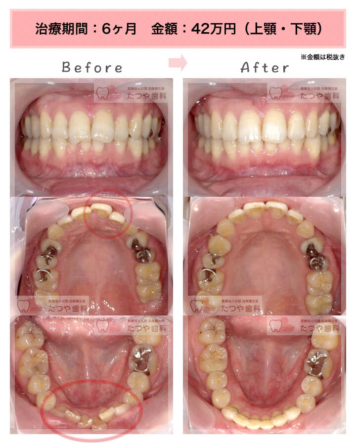
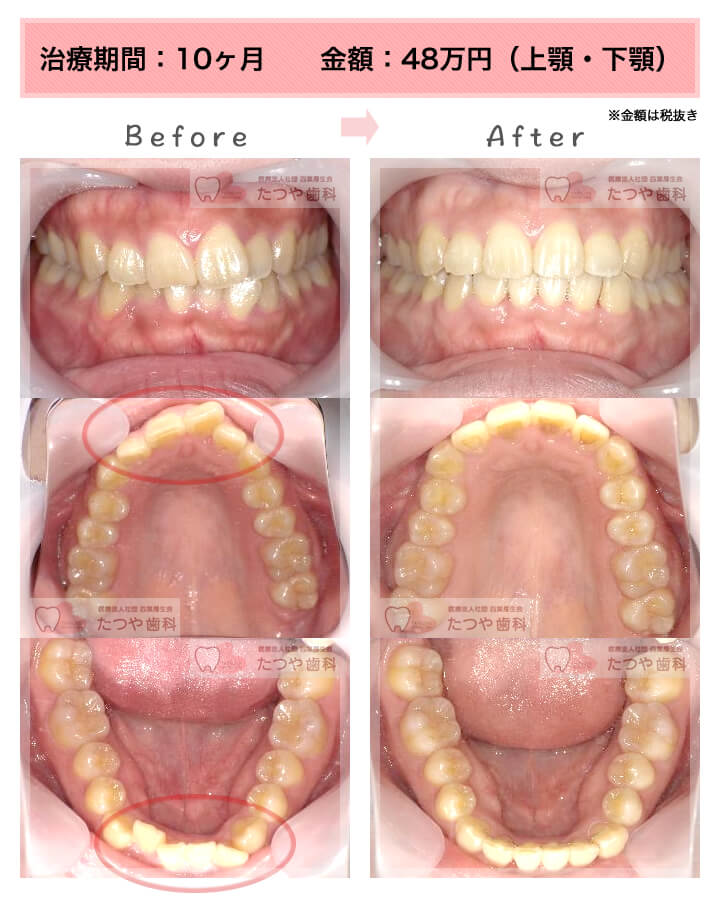
「上下の前歯」症例2
※本ページに掲載している治療費は、
各症例の治療当時の料金を記載しております。
気になる前歯を数ヶ月で美しく
1本3.5万円で始められる
「たつや歯科の部分矯正」
- 前歯の歯並びだけが気になる
- 気になる前歯だけ矯正治療したい
そんなお悩みに応えるのが、
東京都豊島区「たつや歯科」です。
| 料金 | 矯正装置1本あたり3.5万円+税 (調整料/保定装置料込) |
|---|
※部分矯正は“最低6本の歯”に矯正装置を付けます。
症例_060
治療リスク:後戻りの可能性
症例_059
治療リスク:後戻りの可能性
症例_058
治療リスク:後戻りの可能性
症例_057
治療リスク:後戻りの可能性
症例_056
治療リスク:後戻りの可能性
症例_055
治療リスク:後戻りの可能性
症例_054
治療リスク:後戻りの可能性
症例_053
治療リスク:後戻りの可能性
症例_052
治療リスク:後戻りの可能性
症例_051
治療リスク:後戻りの可能性
症例_050
治療リスク:後戻りの可能性
症例_049
治療リスク:後戻りの可能性
症例_048
治療リスク:後戻りの可能性
症例_047
治療リスク:後戻りの可能性
症例_046
治療リスク:後戻りの可能性
症例_045
治療リスク:後戻りの可能性
症例_044
治療リスク:後戻りの可能性
症例_043
治療リスク:後戻りの可能性
症例_042
治療リスク:後戻りの可能性
症例_041
治療リスク:後戻りの可能性
症例_040
治療リスク:後戻りの可能性
症例_039
治療リスク:後戻りの可能性
症例_038
治療リスク:後戻りの可能性
症例_037
治療リスク:後戻りの可能性
症例_036
治療リスク:後戻りの可能性
症例_035
治療リスク:後戻りの可能性
症例_034
治療リスク:後戻りの可能性
症例_033
治療リスク:後戻りの可能性
症例_032
治療リスク:後戻りの可能性
症例_031
治療リスク:後戻りの可能性
“大人に選ばれる”
前歯だけの短期部分矯正
最短3ヶ月でキレイな歯並びへ
いつまでも続く
美しい口元と
輝ける笑顔
すきっ歯・出っ歯・八重歯
前歯のガタガタにお悩みの方へ
【たつや歯科】東京都豊島区|前歯だけの部分矯正専門クリニック。治療実績8,000件以上の部分矯正認定医が、すきっ歯・出っ歯・八重歯・ガタガタを最短3ヶ月で整えます。高度な技術で短期間に理想の歯並びを実現。痛みが少なく、通院回数も少ないので大人の方に選ばれています。
部分矯正を検討中の方は、実績豊富な当院にお任せください。
- 矯正装置1本3.5万円
- 通院毎の調整料0円
- 院内分割:手数料0円
- 目立たないワイヤー矯正
【2回目以降のご予約について】
当院では、2回目以降のご予約専用ダイヤルを
ご用意しております ▼
お電話が繋がらない場合はこちら ▼



